БАЗА изображений
"Новостей лучевой диагностики"

Роль и место рентгеновской компьютерной томографии в диагностике опухолевых заболеваний ободочной кишки.
 
1 2 3 7

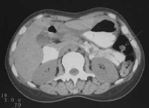
Рис. 7. Полип на ножке (стрелка) визуализируется на фоне газа в селезеночном изгибе толстой кишки.


 
Новости лучевой диагностики 1999 3: 21-23