БАЗА изображений
"Новостей лучевой диагностики"

Роль и место рентгеновской компьютерной томографии в диагностике опухолевых заболеваний ободочной кишки.
 
1 2 3 7

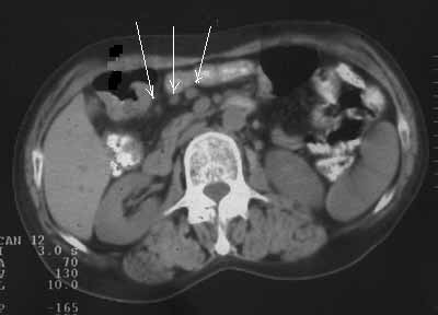
Рис. 3. Рак поперечноободочной кишки: локальное утолщение задней стенки кишки вблизи печеночного изгиба, увеличенные до 1,1 см лимфоузлы вблизи измененной кишки (стрелки).


 
Новости лучевой диагностики 1999 3: 21-23