На главную страницу
На главную

 
 
О журнале Архив Содержание

(Новости лучевой диагностики 1999 3: 21-23)

Роль и место рентгеновской компьютерной томографии в диагностике опухолевых заболеваний ободочной кишки.

Шапоров И. Н.1, Овчинников В. А.2

1Гродненская областная клиническая больница, 2Гродненский государственный медицинский институт.

Компьютерная томография (КТ) для обследования толстой кишки редко применяется, так как обладает низкой точностью для идентификации ранних стадий злокачественных образований толстой кишки и поэтому использование КТ для дооперационного обследования не рекомендуется (8). Эта низкая точность связана с тем, что метод не может оценить глубину инфильтрации опухоли в пределах стенки кишки, и имеет трудности в диагностировании злокачественной аденопатии, что необходимо для определения прогноза и резектабильности опухоли. Кроме этого при обычной (не спиральной) компьютерной томографии результат исследования зависит от одинаковой задержки дыхания пациентом перед каждым сканом, что на практике трудно осуществимо. Для выявления ранних стадий рака толстой кишки или рецидива опухоли в анастомозе методом выбора может служить лишь ультразвуковая эндоскопия.

Средняя выявляемость опухолей толстой кишки при КТ исследовании приблизительно 70%. Чувствительность КТ для обнаружения злокачественной лимфаденопатии при заболевании ободочной кишки — примерно 45% (8). Она выше для ректальных опухолей, потому что любой визуализирующийся лимфатический узел в параректальной области может рассматриваться как злокачественный. Выявление лимфатических узлов при КТ исследовании может быть связано и с наличием воспалительного процесса. Однако околотолстокишечные лимфатические узлы выявляются более часто у пациентов с раком толстой кишки (71%), чем при воспалительных поражениях (15%).

Несмотря на ограничения метод КТ полезен для оценки распространения опухоли на соседние органы и ткани, а также метастатического поражения печени, надпочечников, легких и т.д. КТ исследование применяется:
— для определения разектабельности, необходимости в дооперационной лучевой терапии;
— для проектирования полей облучения;
— для выявления осложнений, связанных с опухолью, типа перфорации с формированием абсцесса или преобструктивной ишемии у пациентов с полной оклюзией опухолью просвета кишки (8).

Метод КТ позволяет различать опухоль и ишемические изменения в стенке в 75 % случаев (7). В большинстве случаев ишемический участок расположен рядом (проксимальнее) с опухолевым, но изредка определяется промежуточная зона с нормальной слизистой оболочкой. Опухоль преимущественно определяется как неравномерно утолщенная (от 0.8 до 4.5см, в среднем - 2.0см) стенка кишки. Ишемический отрезок наиболее часто выявляется благодаря концентрическому утолщению и имеет ровные контуры, толщина стенки колеблется в пределах от 0.6 до 1.5см (в среднем - 1.0см). Опухолевая часть в большинстве случаев имеет
неоднородную структуру стенки, в то время как ишемическая часть определяется гомогенной (70%) (7).

КТ играет важную роль в обнаружении множественного толстокишечного рака и имеет несколько преимуществ перед обычной колоноскопией: способность обнаружить изменения, проксимальные по отношению к опухоли, точная локализация процесса в толстой кишке и вне ее. КТ превосходит колоноскопию и единственный метод для диагностирования внешних по отношению к кишке рецидивов опухоли.

Необходимо учесть что симулировать опухоль толстой кишки при КT колонографии могут: илеоцекальный клапан, каловые массы, бариевая взвесь, дыхательные артефакты и заполненный калом дивертикул. При исследовании нельзя надежно определить, представляет ли мягкотканное образование в ложе опухоли рецидив, поэтому важно производить КТ через 4 месяца после операции и повторять это исследование с 6-ти месячными интервалами. Рубцовая ткань, даже если первоначально несколько увеличивается, то через какое-то время (к концу 1-го года) должна уменьшаться, причем контуры становятся более четкими (8). Увеличение в размере рубцовой ткани или появление лимфатических узлов  должно являться показанием для биопсии.

Метод компьютерной томографии позволяет судить о состоянии брыжейки толстой кишки, которая может быть определена, используя в качестве ориентира  сосуды в брыжейке ободочной кишки. Патологические изменения в ней связаны в первую очередь с органами, к которым брыжейка ободочной кишки присоединена, прежде всего это толстая кишка и поджелудочная железа (1,2,3).

КТ-колонография — многообещающий метод для дифференциации злокачественных или предраковых  болезней толстой кишки от других изменений. Аденоматозные полипы более 0.7см в диаметре легко обнаруживаются на КT колонографии. Однако, одиночные полипы высотой меньше чем 2мм от поверхности толстой кишки трудно обнаружить. Хотя КT-колонография не позволяет дифференцировать между гиперпластическими и аденоматозными полипами, липомы могут быть уверенно диагностированы из-за их жировой плотности (6).

В типичных случаях выявление рака толстой кишки даже не требует специальной подготовки, однако для повышения достоверности диагностики заболеваний кишки желательно очистить кишечник с помощью клизмы накануне и непосредственно перед исследованием. При этом просвет толстой кишки необходимо заполнить раствором водорастворимого контраста, чистой водой или воздухом. Применение контраста может  быть полезно при обнаружении свища между полыми органами, в то время как применение водной клизмы дает возможность избежать артефактов, связанных с использованием контрастных в-в, и дать точную оценку состояния стенки кишки и околотолстокишечных структур (5).

Нами производились КТ исследования ободочной кишки в случаях подозрения на заболевание толстой кишки и затруднения выполнения типичных методов исследования толстой кишки — ирригоскопии, колоноскопии (резкая болезненность, недержание клизмы, невозможность обследования правых отделов толстой кишки, при подозрении на ранние постоперационные осложнения), а также в случаях массивного экстраорганного роста — для выявления распространенности процесса и экстраорганых рецидивов опухоли.

В 10-ти случаях выявлены признаки характерные для рака ободочной кишки: неравномерное утолщение стенок ободочной кишки от 1,0 до 2,6см, нечеткость контуров, повышение плотности окружающей клетчатки, уплотнение переднего листка околопочечной фасции (в случаях рака восходящей и нисходящей кишок) (Рис. 1- 4). В 2-х случаях рак ободочной кишки сопровождался  признаками кишечной непроходимости (Рис. 5). В одном случае массивная опухоль исходила из правой почки и вовлекала восходящую кишку. В другом — выявлена опухоль имеющая неоднородную мягкотканную плотность, относительно четкие контуры расположенная, премущественно экстраорганно по отношению к нисходящей кишке (Рис. 6). В одном случае при пероральном контрастировании ободочной кишки создалось впечатление ракового поражения селезеночного угла толстой кишки, для уточнения исследование повторили после очистительной клизмы и раздувания — в результате выявлен полип на ножке (Рис. 7). При обследовании постоперационных больных — в 1-м случае выявлен околоободочный абсцесс, в другом — явления анастомозита после левосторонней гемиколонэктомии, проявляющегося утолщением стенок кишки в зоне анастомоза до 6мм с выраженным расширением проксимальной части кишки. В двух случаях при КТ исследовании не получено убедительных данных за опухолевое поражение ободочной кишки хотя данные колоноскопии указывали на раковое заболевание или малигнизированный полип.
 
Увеличить
 
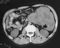
Рис. 1. Рак печеночного угла толстой кишки: неравномерное утолщение стенки кишки, ее неоднородность, инфильтрация окружающей клетчатки, утолщение близлежащего участка брюшины.

 
Увеличить
 
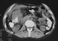
Рис. 2. Рак слепой кишки: неравномерное утолщение стенок, инфильтрация окружающей клетчатки.

 
Увеличить
 
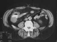
Рис. 3. Рак поперечноободочной кишки: локальное утолщение задней стенки кишки вблизи печеночного изгиба (стрелки), наличие увеличенных до 1,1 см лимфоузлов вблизи измененной кишки.

 
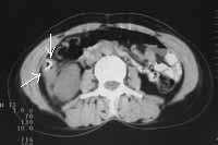
Рис. 4. Рак восходящей кишки: неравномерное утолщение стенок (стрелки) с инфильтрацией переднего листка околопочечной фасции и околопочечной клетчатки.

 
Рис. 5. Рак верхней трети нисходящей кишки (стрелка): неравномерное утолщение стенок кишки, их регидность, инфильтрация окружающей клетчатки в виде тяжей с вовлечением переднего листка околопочечной фасции, наличие признаков кишечной непроходимости.

 
Рис. 6. Массивная опухоль по периферии нисходящей кишки неотграниченная от ее стенок.

 
Увеличить
 
Рис. 7. Полип на ножке (стрелка) визуализируется на фоне газа в селезеночном изгибе толстой кишки.

Выводы:

1. Компьютерная томография должна применятся в случаях подозрения на заболевание толстой кишки и затруднения выполнения типичных методов исследования толстой кишки — ирригоскопии, колоноскопии, а также в случаях массивного экстраорганного роста, для выявления распространенности процесса, экстраорганых рецидивов опухоли, осложнений связанных с опухолью и оперативным вмешательством, что способствует решению вопроса об операбильности опухоли, лечебной тактике.
2. Вопрос о способе контрастирования толстой кишки решается индивидуально учитывая то, что использование водной клизмы наиболее простой способ, не приводящий к образованию артефактов и позволяющий визуализировать стенку кишки.
3. Выявление одиночных полипов в случае применения обычной (не спиральной) КТ является не рациональным в виду высокой лучевой нагрузки, низкой выявляемости, невозможности диффдиагностики между гиперпластическими и аденоматозными полипами.

Литература:

1. Charnsangavej C., DuBrow R.A., Varma D.G. et al. CT of the mesocolon. Part 1. Anatomic considerations. // Radiographics. -1993.- V. 13, N 5. — P. 1035-45
2. Charnsangavej C., Dubrow R.A., Varma D.G. et al. CT of the mesocolon. Part 2. Pathologic considerations.// Radiographics. -1993.- V. 13, N 6.- P. 1309-22.
3. Charnsangavej C., Whitley N.O. Metastases to the pancreas and peripancreatic lymph nodes from carcinoma of the right side of the colon: CT findings in 12 patients.//  AJR-Am-J-Roentgenol. -1993. — V. 160, N 1.- P.  49-52.
4. Chintapalli K.N., Esola C.C., Chopra S. et al. Pericolic mesenteric lymph nodes: an aid in distinguishing diverticulitis from cancer of the colon.// AJR-Am-J-Roentgenol. -1997. — V. 169, N 5.- P. 1253-5.
5. Gazelle G.S., Gaa J., Saini S., Shellito P. Staging of colon carcinoma using water enema CT. // J-Comput-Assist-Tomogr. -1995.- V. 19, N 1.- P. 87-91.
6. Hara A.K., Johnson C.D., Reed J.E. Colorectal lesions: evaluation with CT colography.// Radiographics. -1997. — V. 17, N 5. -P. 1157-67. -discussion P. 1167-8.
7. Ko G.Y., Ha H.K., Lee H.J. et al. Usefulness of CT in patients with ischemic colitis proximal to colonic cancer.// AJR-Am-J-Roentgenol. -1997. — V. 168, N 4.- P. 951-6.
8. Thoeni R.F. Colorectal cancer. Radiologic staging.// Radiol-Clin-North-Am. -1997.- V. 35, N2. — P.  457-85.
 

О журнале Архив Содержание