БАЗА изображений
"Новостей лучевой диагностики"

Роль и место рентгеновской компьютерной томографии в диагностике опухолевых заболеваний ободочной кишки.
 
1 2 3 7

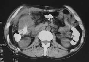
Рис. 1. Рак печеночного угла толстой кишки: неравномерное утолщение стенки кишки, ее неоднородность, инфильтрация окружающей клетчатки, утолщение близлежащего участка брюшины.


 
Новости лучевой диагностики 1999 3: 21-23