БАЗА изображений
"Новостей лучевой диагностики"

Трудности и ошибки в лучевой диагностике опухолей головного мозга.
 
1 и 2 3 и 4 5 и 6 7 и 8 9 10 11

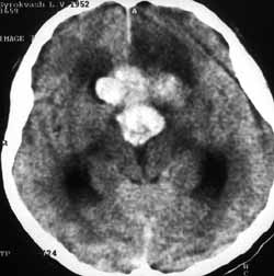
Рис. 9. Кровоизлиянии в аденому гипофиза.


 
Новости лучевой диагностики 1999 1: 18-20