БАЗА изображений
"Новостей лучевой диагностики"

Трудности и ошибки в лучевой диагностике опухолей головного мозга.
 
1 и 2 3 и 4 5 и 6 7 и 8 9 10 11

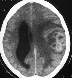
Рис. 7 и 8. Слева - в левой лобной доле два сливающихся кольцевидных образования с выраженным перифокальным отеком - метастазы рака легкого, ошибочно принятые за абсцессы.
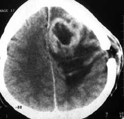
Справа - множественные абсцессы левой височной доли. По КТ-картине и клинически (болеет 7 месяцев с постепенным нарастанием неврологических растройств) предполагалась глиальная опухоль.
 
 
Новости лучевой диагностики 1999 1: 18-20