БАЗА изображений
"Новостей лучевой диагностики"

Трудности и ошибки в лучевой диагностике опухолей головного мозга.
 
1 и 2 3 и 4 5 и 6 7 и 8 9 10 11

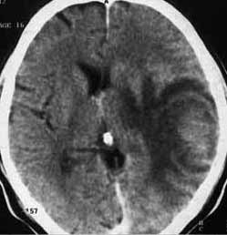
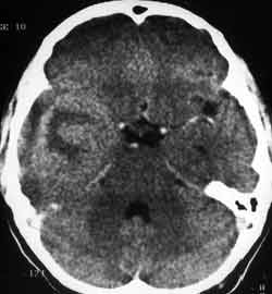
Рис. 5 и 6. Слева - абсцесс головного мозга, расцененный при КТ-исследовании и при операции как глиома (тотально удалена «бугристая серого цвета опухоль»). Справа - опухоль, напоминающая по своим характеристикам абсцесс.
 
 
Новости лучевой диагностики 1999 1: 18-20