БАЗА изображений
"Новостей лучевой диагностики"

Трудности и ошибки в лучевой диагностике опухолей головного мозга.
 
1 и 2 3 и 4 5 и 6 7 и 8 9 10 11

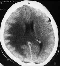
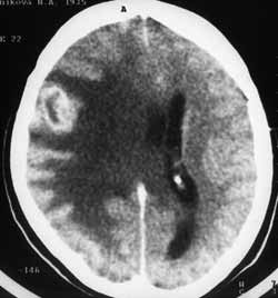
Рис. 3 и 4. (Слева) В правой височно-теменной области отмечается амебовидное снижение плотности белого вещества. После внутривенного усиления накопления контрастного вещества не выявлено. (Справа) Тот же больной. Через 1 месяц четко визуализируется метастаз.
 
 
Новости лучевой диагностики 1999 1: 18-20