БАЗА изображений
"Новостей лучевой диагностики"

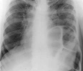
Диагностика образований, расположенных в проекции кардио-диафрагмальных углов.
 
1 2 3 4

Рис. 4. Диафрагмальная грыжа слева. Содержит петлю толстой кишки.


 
Новости лучевой диагностики 1998 3: 10-11