БАЗА изображений
"Новостей лучевой диагностики"

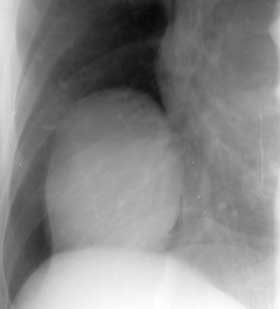
Диагностика образований, расположенных в проекции кардио-диафрагмальных углов.
 
1 2 3 4

Рис. 2. Целомическая киста перикарда.


 
Новости лучевой диагностики 1998 3: 10-11