БАЗА изображений
"Новостей лучевой диагностики"

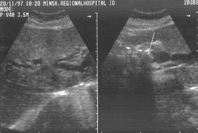
Ультразвуковой метод в дифференциальной диагностике желтух.
 
1 2 3

Рис. 2.  Холедохолитиаз. Конкремент в просвете холедоха (стрелка). Расширены внутрипеченочные желчные протоки (кадр справа).


 
Новости лучевой диагностики 1999 2: 9-11