На главную страницу
На главную

 
 
О журнале Архив Содержание

(Новости лучевой диагностики 1999 2: 9-11)

Ультразвуковой метод в дифференциальной диагностике желтух.

Макаревич Е. Н.

Минская областная больница.

Увеличение частоты заболеваний органов гепатобилиарной и панкреатодуоденальной зон, осложненных синдромом желтухи, дают основания рассматривать дифференциальную диагностику желтух, каки одну из актуальных проблем.

Таблица. Этиологические факторы желтух.
 
Механическая Паренхиматозная
злокачественного генеза доброкачественного генеза злокачественного генеза доброкачественного генеза
-рак головки 
поджелудочной железы 
-рак БДС 
-рак желчного пузыря 
-рак желчных протоков 
-метастазы в ворота печени 
-холедохолитиаз 
-острый и хронический панкреатиты 
-рубцовая стриктура холедоха 
-болезнь Кароли 
-стеноз БДС 
-перихоледохиальный лимфаденит 
-склерозирующий холангит
-метастатическое поражение 
печени 
-острый гепатит 
-хронический гепатит 
-цирроз печени

Применение инструментальных методов исследования: лапороскопии, чрезкожной чрезпеченочной холангиографии (ЧЧХГ), эндоскопической ретроградной холангиопанкреатографии (РХПГ) безусловно расширило диагностические возможности, однако эти методы в условиях поликлиники не применяются, так как являются инвазивными, сложными в техническом исполнении. В повседневной клинической практике широкое распространение получил метод ультразвуковой диагностики, являясь неинвазивным, необременительным для больного, его результаты не зависят от функции печени, он может быть использован в качестве контроля за динамикой заболевания.

Диагностические возможности ультразвукового метода позволяют определить:
— характер желтухи: паренхиматозная или механическая.
— провести дифференциальную диагностику между желтухой доброкачественного и опухолевого генеза,
— установить уровень обтурации желчных протоков в случае механической природы.

Диагностические возможности метода имеют определенные пределы, однако не снижают ценность метода.

Часто у больных с паренхиматозным поражением печени и с механической обструкцией гепатикохоледоха допускаются ошибки в интерпритации клинико-лабораторных данных, что обусловлено сложным механизмом развития желтухи. При длительном холестазе механического происхождения в печени возникает синдром цитолиза, в результате чего к механической желтухе присоединяется паренхиматозный компонент. Всвязи с этим лабораторные показатели у больных с механической желтухой могут имитировать паренхиматозную.

Диагностика желтухи паренхиматозного характера с помощью ультразвукового метода исследования не представляет особых трудностей. К ней могут приводить острый гепатит, ультразвуковая картина которого характеризуется увеличением печени, снижением эхогенности печени, повышением перихоледохеальной эхогенности за счет серозного отека околососудистой клетчатки. При циррозах печени отмечается диффузная неоднородность печени, наличие множественных облитерированных сосудов, увеличение левой доли с атрофией правой, закругление углов печени, признаки портальной гипертензии.

Основным эхографическим признаком паренхиматозного характера желтухи является наличие нерасширенных внутри- и внепеченочных желчных протоков.

Ключевым признаком механической желтухи при УЗИ является расширение желчных протоков (Рис. 1), как внепеченочных так и внутрипеченочных. В норме внутрипеченочные желчные протоки, за исключением долевых, осмотреть которые возможно лишь в 50% случаев, при УЗИ не видны. Степень расширения желчных протоков при механической желтухе зависит от причин нарушения оттока желчи и в большей степени от продолжительности обструкции. Дилятацию внутрипеченочных протоков возможно выявить на 3-5 день после обструкции. Расширение протоков последовательно распространяется от места закупорки снизу вверх. Внутрипеченочные расширенные протоки при этом имеют вид мешотчатых или трубчатых структур и в отличие от ветвей воротной вены сохраняют значительную степень расширения и прослеживаются практически до периферии. Трудности в определении расширения внутрипеченочных протоков возникают в том случае, когда механическая желтуха возникает остро и по времени является непродолжительной, в случае преходящего холестаза при вентильных камнях, при мелких конкрементах холедоха, которые вызывают кратковременное нарушение проходимости.
 
Увеличить
 
Рис. 1. Расширены внутрипеченочные желчные протоки и холедох (22 мм). В желчном пузыре множественные конкременты (не показано).

Наиболее частой причиной механической желтухи является холедохолитиаз (Рис. 2). Диагноз достоверен в случае определения в просвете холедоха гиперэхогенной структуры с акустической тенью. На основании этого ультразвукового признака конкременты выявляются лишь в 30-35 % случаев. Относительно невысокий процент обнаружения камней в просвете протока при УЗИ объясняется тем, что в большинстве случаев обтурацию вызывают камни, находящиеся в дистальном отделе холедоха, визуализация которого затруднена из-за ретродуоденального расположения.
 
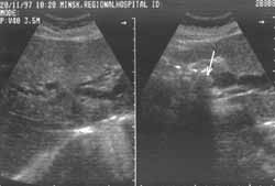
Увеличить
 
Рис. 2. Холедохолитиаз. Конкремент в просвете холедоха (стрелка). Расширены внутрипеченочные желчные протоки (кадр слева).

При наличии стриктуры гепатикохоледох в зоне сужения визуализируется в виде узкой, резко деформированной трубки. Стенки протока на значительном протяжении резко утолщены вследствие выраженного склероза.

Диагностика механической желтухи, вызванной сдавливанием дистального отдела холедоха головкой поджелудочной железы вследствие острого и хронического панкреатита, достаточно высокая. Это обусловлено хорошей визуализацией при УЗИ поджелудочной железы и возможностью с помощью метода оценить ее состояние. Эхографическая картина характеризуется увеличением головки поджелудочной железы, неоднородностью структуры, нечеткостью контуров, снижением эхогенности.

При опухолевом генезе обструкции (Рис. 3) дистального отдела холедоха определяется резкое расширение внутри — и внепеченочных протоков и выраженное увеличение желчного пузыря, что объясняется длительным застоем желчи. При этом расширение Вирсунгова протока наблюдается в 9 % случаев при опухоли дистального отдела холедоха, в 40 % при опухоли головки поджелудочной желе-зы, в 67 % при опухоли БДС.
 
Увеличить
 
Рис. 3. Рак головки поджелудочной железы. В головке определяется бугристое образование сниженной эхогенности. Вирсунгов проток расширен до 7 мм. 

Патогноманичным комплексом для опухоли головки поджелудочной железы является сочетание прямых признаков: локальное увеличение головки за счет наличия опухолевидного образования различной эхогенности, но преимущественно сниженной, с косвен-ными, к которым относится: эктазия главного панкреатического протока, явления хронического панкреатита, возникающие из-за блокады протока опухолью, а также расширение внутри — и внепеченочных протоков, увеличение желчного пузыря.
Наиболее трудной для УЗ-диагностики является патология БДС.

Ультразвуковая диагностика опухоли БДС основывается на косвенных симптомах, поскольку визуализировать это образование в виде опухолевой массы различного уровня эхогенности в зоне БДС удается редко. Косвенным признаком рака является холангиоэктазия на всем протяжении желчного дерева, при блокаде устья Вирсунгова протока — панкреатоэктазия. Опухоли БДС и опухоли, исходящие из дистальной части холедоха, имеют сходную эхографическую картину и практически не различимы между собой.

Опухоли средних отделов холедоха дают при УЗИ картину, напоминающую при опухоли головки поджелудочной железы. Отличие заключается в том, что опухоли холедоха реже визуализируются из-за преобладания инфильтративного роста, и чаще всего они прорастают пузырный проток. Диагностика опухолевого прорастания пузырного протока основывается на определении специфической картины желчного пузыря, когда его увеличение сопровождается повышением эхогенности внутреннего содержимого, что характерно для длительно отключенного желчного пузыря от внепеченочных желчных протоков.

Опухоли внепеченочных желчных протоков имеют чаще повышенную эхогенность. Важным косвенным признаком, который наблюдается в 100% случаев является холангиоэктазия. Исключение могут составлять больные у которых желтуха отсутствует в связи с наложением ранее билидигистивных анастомозов. Для опухолевой окклюзии долевого протока характерна внутрипеченочная холангиоэктазия на стороне поражения. При локализации рака в зоне ворот печени и проксимального отдела печеночного протока холангиоэктазия определяется в обеих долях печени. Общий печеночно-желчный проток ниже опухоли и желчный пузырь в этом случае спавшиеся.

Рак желчного пузыря является труднодиагностируемой опухолью. Трудности диагностики обусловлены тем, что опухоль развивается на фоне длительно существующей ЖКБ, структура ее отличается чаще повышенной эхогенностью. Основным признаком является визуализация опухолевой массы, имеющей интра- или экстраорганный рост. При блокаде опухолью гепатикохоледоха развивается холангиоэктазия выше опухоли.

Таким образом, УЗИ дает важную информацию при заболеваниях органов гепатопанкреатодуоденальной зоны, осложненных механической желтухой. Практическое преимущество метода заключается в том, что УЗИ позволяет сократить диагностический период, данные УЗИ можно использовать для построения программы диагностических исследований. Однако диагностические возможности метода имеют предел точности, поэтому данные УЗИ необходимо верифицировать другими методами исследования.
 

О журнале Архив Содержание