БАЗА изображений
"Новостей лучевой диагностики"

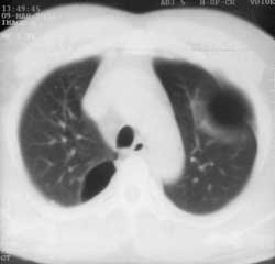
Преимущества рентгеновской компьютерной томографии в диагностике буллезной болезни легких.
 
1 2 3

Рис. 3. В правом реберно-позвоночном углу булла, не выявленная на обычной рентгенограмме.


 
Новости лучевой диагностики 2000 2: 22-23