На главную страницу
На главную

 
 
О журнале Архив Содержание

(Новости лучевой диагностики 2000 2: 22-23)

Преимущества рентгеновской компьютерной томографии в диагностике буллезной болезни легких.

Букач В. В.

Брестская областная больница.

Диагностика буллезной болезни традиционными рентгенологическими методами (рентгенография,томография и др.) не представляет особых сложностей. Однако, для успешного оперативного лечения необходимо не только поставить диагноз, но и получить точную информацию о функциональной полноценности легочной ткани и распространенности изменений в перрибулезной паренхиме .В этих случаях обычное, даже самое тщательное рентгенологическое исследование не удовлетворяет хирурга.

Точность рентгенологического метода исследования по данным литературы составляет около 32%, что свидетельствует о его недостаточной чувствительности и специфичности при распознавании буллезной болезни легких.

Рентгенография буллезной болезни легких не позволяет получить анатомическую и функциональную характеристику легкого, необходимую для успешного хирургического лечения заболевания. Буллезное перерождение легких выявляется на рентгенограммах в виде бессосудистых участков повышенной прозрачности, окруженных дугообразными тонкими тенями (Рис. 1а). Некоторую информацию функционального характера можно получить путем сравнения рентгенограмм на вдохе и выдохе. При наличии множества булл, крайне трудно разобраться в сети переплетающихся теней.

Рентгенологические симптомы буллезных изменений легких часто могут быть истолкованы неверно. Чаще всего это бывает при небольших буллах, проецирующихся на тени ребер, или при суперпозиции на маленькие буллы, окружающей их со всех сторон легочной ткани. Буллезные изменения в верхушке легкого и базальных сегментах, особенно в ребернодиафрагмальном синусе, практически никогда не выявляются рентгенологически по выше указанным причинам.

Многие заболевания приводят к стиранию и без того слабо выраженных рентгенологических симптомов буллезной болезни. Эмфизема, пневмосклероз, туберкулез и др. в значительной степени препятствуют распознаванию булл. То же происходит при сколиозе и при деформации реберного каркаса.
Точность же РКТ в диагностике этого заболевания значительно выше (Рис. 1б). При квалифицированно проведенном исследовании КТ позволяет выявить буллезные изменения легочной паренхимы в 100% случаев.
Метод позволяет выявлять рентгенологически нераспознаные небольшие буллы, дифференцировать их от спонтанного пневмоторакса и плиекистоза легких.
 
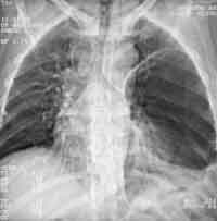
Рис. 1. (а) Левое легкое поджато гигантской буллой, симулирующей спонтанный пневмоторакс. Отмечается смещение средостения вправо.

 
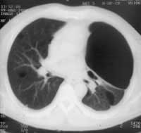
Рис. 1. (б) На компьютерной томограмме того же больного хорошо видна тонкостенная полость. В паринхиме обоих легких так же тонкостенные буллезные полости.

Поликистоз легких, в отличие от буллезной болезни, характеризуется внутрилегочным расположением множества кист, которые внешне напоминают гроздья винограда и имеют более толстую стенку, чем буллы, которые представляют собой субплеврально расположенные тонкостенные полости.
При гигантских буллах КТ дает возможность проследить их тонкую стенку и таким образом отвергнуть подозрение на спонтанный пневмоторакс.

Хотя буллы выявляются при компьютерной томографии визуально, денситометрия объективизирует эти данные. Так плотность внутри булл от -880 ед. Хаунсфилда и ниже.

Чаще буллы выглядят как одиночные и множественные округлые полости, но встречаются и многокамерные буллы. Так же высока информативность метода РКТ при парамедиастинальных буллах (Рис. 2), которые практически не выявляются другими методами. Только с помощью компьютерной томографии можно идентифицировать каждую буллу, установить их количество, размеры и локализацию (Рис. 3).
 
Рис. 2. В правом реберно-позвоночном углу булла, не выявленная на обычной рентгенограмме.

 
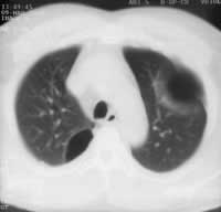
Рис. 3. Множественные буллы в левом реберно-диафрагмальном синусе.

Кроме вышесказанного, метод компьютерной томографии позволяет визуально оценить состояние перибуллезной легочной ткани, а так же состояние всей легочной паренхимы.

Таким образом, компьютерная томография при буллезной болезни легких, служит высокоинформативным методом исследования, позволяющим выявлять буллы любого размера, констатировать наличие и размеры пораженной легочной ткани, состояние перибуллезной паренхимы с учетом комплекса патологических измненений и функциональных резервов легкого, что крайне важно для успешного лечения и выполнения органосберегающих операций.

Литература:

1. Л.С.Розенштраух "Рентгенодиагностика заболеваний органов дыхания" М."Медицина" 1987г. стр.120-164
2. "Клиническая рентгенорадиология" Под ред. Г.А.Зедгенинтзе М. "Медицина" 1983г. т.1,4.
3. Дягтерева И.А. "Вестник рентгенологии и радиологии" 1989 г. N1 стр.8-14
4. Тодуа Ф.И. "Вестник рентгенологии и радиологии" 1988г. N3 стр.15-19
 

О журнале Архив Содержание