БАЗА изображений
"Новостей лучевой диагностики"

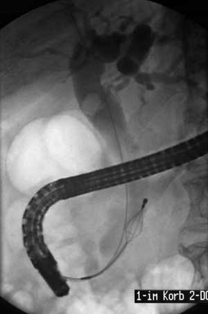
Рентгеноскопия + эндоскопия = ЭРХПГ.
 
1 2 3 4 5 6

Рис. 4. Расширение холедоха. Камень в холедохе. Литоэкстракция корзинкой Дормиа FG-22Q. Струна-проводник в холедохе.


 
Новости лучевой диагностики 1999 1: 28-30