БАЗА изображений
журнала  "Новости лучевой диагностики"

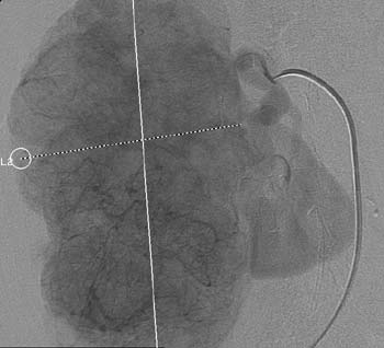
Связь ангиографической семиотики и морфологического строения при раке почки.
 
1 2 3 4 5 6 7 8 9

Рис. 5. Рак правой почки. Т3аN0M0. Гиперваскулярная опухоль V типа вакуля-ризации (измерительные линии) бугристой формы за счёт крупноузлового строения. Мелкие опухолевые сосуды равномерно распределены по площади опухоли.


 
Новости лучевой диагностики онлайн 2004 1