БАЗА изображений
журнала "Новости лучевой диагностики"

Сочетанные методы рентгеноконтрастного исследования в диагностике заболеваний органов брюшной полости.
 
1 2 3 4

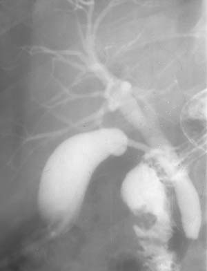
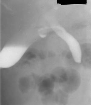
Рис. 3. При заполнении желчных протоков определяется обтурация желчного протока конкрементом (Слева). При контрастировании желудка и 12-перстной кишки определено расстояние между уровнем обтурации и сфинктером Одди (Справа).


Новости лучевой диагностики 2002 1-2: 2-3