(Новости лучевой диагностики 2002 1-2: 2-3)
Сочетанные методы рентгеноконтрастного исследования в диагностике
заболеваний органов брюшной полости.
Жарнова В. В.
Гродненская областная клиническая больница, Гродно.
В медицинскую практику внедрено множество методов получения диагностического
изображения. В настоящее время все большую популярность завоевывает ультразвуковое
исследование, компьютерная и манитно-резонансная томография, а рентгенологическое
как бы оттеснено на второй план в диагностике более сложных клинических случаев.
Однако основным принципом диагностики должен быть наименьший радиационный риск,
минимальная стоимость и более точная диагностика.
Наше исследование предполагает сочетание нескольких рентгеноконтраситных методик,
что позволяет поставить диагноз, указать более точную локализацию процесса для
хирургов. Современное рентгенодиагностическое оборудование с наличием электронно-оптического
преобразователя как раз и позволяет ответить на поставленные клиницистом вопросы.
Приводим свои наблюдения:
1. Сочетание фистулографии урографином с пневмоколоноскопией (раздувание толстой
кишки воздухом) у больного Я., 25 лет, находившегося на стационарном лечении
в хирургии с длительно незаживающим свищом после пулевого ранения брюшной полости,
позволило диагностировать перфорацию нисходящего отдела ободочной кишки, поддерживающую
гнойно-воспалительный процесс в брюшной полости. Точная локализация перфоративного
отверстия (места, где контраст через свищевой ход попал в просвет толстой кишки
на фоне ее раздувания воздухом) позволило квалифицированно устранить причину
нагноительного процесса и обеспечить выздоровление пациента (Рис. 1).

[Увеличить] |
Рис. 1. По дренажной трубке в свищевой ход введено контрастное
вещество (Слева). В толстую кишку (per rectum) введен воздух
(Справа). В просвете толстой кишки определяется контраст,
что свидетельствует о наличии толстокишечного свища.
|

[Увеличить]
|
|
2. Больная П., 52 лет поступила в хирургию с жалобами на периодически возникающую
желтуху. УЗИ исключило наличие у больной конкрементов. Была проведена холангиография
по дренажной трубке, находившейся в желчных протоках, с одновременным контрастированием
желудка и двенадцатиперстной кишки барием. Причиной желтухи оказался огромных
размеров дивертикул, который при наполнении оттеснял общий желчный проток, что
периодически нарушало отток желчи, вызывая механическую желтуху (Рис. 2).

[Увеличить]
|
Рис. 2. Большой дивертикул сдавливает и смещает общий желчный
проток.
|
|
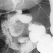
3. Больной М., 58 лет, находился в хирургии с механической желтухой, обусловленной
наличием конкремента в терминальном отделе общего желчного протока. С целью
разгрузки желчных путей была установлена дренажная трубка в желчном пузыре.
Врачами было предложено извлечение конкремента с помощью фибродуоденоскопа через
сфинктер Одди. Предварительно была произведена чрезпузырная холлангиография
с водорастворимым контрастным веществом и релаксационная дуоденография с барием
с целью уточнения локализации конкремента. На произведенной рентгенограмме конкремент
расположен в 2 см от сфинктера Одди. Полученная информация изменила тактику
лечения (Рис. 3).

[Увеличить]
|
Рис. 3. При заполнении желчных протоков определяется обтурация
желчного протока конкрементом (Слева). При контрастировании
желудка и 12-перстной кишки определено расстояние между уровнем
обтурации и сфинктером Одди (Справа).
|

[Увеличить]
|
|
4. Больной З., 47 лет, страдающий хроническим панкреатитом, поступил в хирургию
с наличием гнойного свища на заднебоковой поверхности брюшной стенки. В анамнезе
у больного произведено оперативное вмешательство, заключающееся в наложении
цистогастроанастомоза (анастомоз между кистой поджелудочной железы и желудком),
после которого больной чувствовал себя хорошо. Однако наличие свища позволило
предположить облитерацию анастомоза. Одновременное исследование желудка и введение
контраста в свищевой ход подтвердило это предположение (Рис. 4).

[Увеличить]
|
Рис. 4. Выполнена фистулография (контраст в ретрогастральном
пространстве) и контрастирован желудок. Ранее наложенный анастомоз
между кистой поджелудочной железы и желудком не контрастируется.
|
|