БАЗА изображений
журнала "Новости лучевой диагностики"

Технические принципы многосрезовой компьютерной томографии.

1 2 3 4 5 6 7 8 9 10

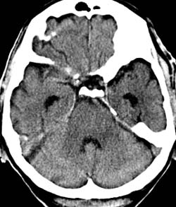
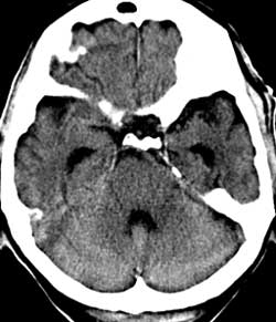
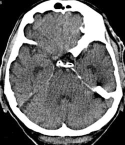
Рис. 7. Влияние коллимации и толщины среза на качество изображений на примере исследования головного мозга. Во всех случаях коллимация 1 мм. (Слева) Реконструированная толщина среза 1 мм. (В центре) Толщина среза 4 мм. (Справа) Толщина среза 8 мм. На изображении (Слева) на область варолиевого моста накладываются артефакты от пирамиды левой височной кости. На изображениях (В центре) и (Справа) они практически отсутствуют - эффект усреднения, однако при толщине среза 8 мм (Справа) нечетко визуализируется ликворное пространство над правой гемисферой мозжечка по той же причине. Толщина среза 4 мм в данном случае оптимальна.


Первый опыт использования многосрезовой компьютерной томографии в Республике Беларусь. Материалы конференции, Минск, 20-21 октября 2003 г.