На главную страницу
На главную

 
 
О журнале Архив Содержание


Материалы
Международного межуниверситетского семинара по диагностической и терапевтической радиологии
Минск, 20-21 октября 2003 года

Первый опыт использования многосрезовой компьютерной томографии в Республике Беларусь.
Хоружик С.А., Дзюбан В.П.
ГУ "НИИ онкологии и медицинской радиологии им. Н.Н. Александрова", Минск.
(Радиология в медицинской диагностике [современные технологии] 2003: 83-90)

В 1988 году фирма Сименс представила технологию спирального сканирования [1, 2, 3], ставшую значительным шагом вперед в развитии компьютерной томографии. 1992 год можно считать следующим важнейшим этапом и годом рождения многосрезовой (мультиспиральной, мультислайсной от английского слова multislice) КТ - израильская фирма Elscint предложила двухсрезовый сканнер. Наконец 1998 год ознаменовался официальным представлением четырехсрезового (четырехспирального) КТ-сканнера на Ежегодной конференции Северо-Американского радиологического общества (RSNA) в Чикаго. К концу этого года все крупнейшие производители радиологического оборудования начали предлагать подобные сканеры для продажи.

Первый и единственный на данный момент многосрезовый компьютерный томограф (МСКТ) в Республике Беларусь был установлен и принял первого пациента 19 февраля 2002 года в ГУ "НИИ онкологии и медицинской радиологии им. Н.Н. Александрова" в Минске. Это четырехсрезовый КТ SOMATOM Volume Zoom фирмы Сименс. В статье мы обобщаем наш 1,5-летний опыт работы с МСКТ в первую очередь с точки зрения технологии многосрезового сканирования. Подробное представление клинического использования аппарата выходит за рамки данной публикации.

Технические принципы МСКТ.

Многосрезовая принципиально отличается от обычной спиральной компьютерной томографии количеством одновременно сканирующих спиралей - по определению более 1. Большинство установленных в мире МСКТ являются 4-срезовыми (4 одновременно сканирующих спирали), а большинство вновь устанавливаемых сканеров - 16-срезовыми. Пока это максимальное количество одновременно сканирующих спиралей на рынке МСКТ-сканеров.

Основные технические параметры многосрезовых КТ сканнеров:
- Количество срезов… 2, 4, 6, 8, 10, 16
- Время ротации
- Коллимация и толщина среза
- Интервал реконструкции
- Питч
- мАс, кВ
- Алгоритм реконструкции.

Первая задача лучевой диагностики - получить качественное изображение. Поэтому, рассматривая технические параметры МСКТ, стоит разобрать каждый из них с точки зрения его влияния на качество изображения.

Общепринятыми индикаторами качества КТ-изображения являются:
- Временная разрешающая способность - быстрое сканирование дает много преимуществ как для пациента, так и для врача (исследование на одной задержке дыхания, возможно несколько фаз контрастного усиления, увеличение пропускной способности);
- Пространственная разрешающая способность - визуализация мелких деталей означает больше информации для постановки правильного диагноза и качественные реконструкции;
- Контрастная разрешающая способность - способность видеть раздельно рядом расположенные элементы изображения (четкость границ объектов) и их структуру.

Количество срезов.

Сканер Volume Zoom является 4-срезовым. Количество одновременно сканирующих спиралей влияет в первую очередь на временную разрешающую способность - скорость сканирования увеличивается в 8 раз. Например, сканирование грудной клетки в стандартном режиме (при толщине среза 5 мм) осуществляется на одном вдохе и занимает 11 секунд. На такое время задержать дыхание может любой пациент. При этом потеря важной информации в процессе сканирования становится невозможной, выявляется больше очагов, что в онкологической клинике означает более точное стадирование. Так, если ранее при последовательной технологии сканирования был возможен пропуск очагов в легких за счет отличия глубины вдоха, теперь это перестало быть проблемой. Появилась новая проблема - как интерпретировать и какую тактику применять при выявлении единичных мелких очагов в легких (метастаз или доброкачественное образование?).

Время ротации.

Время ротации - время полного (на 360°) оборота системы трубка-детекторы вокруг сканируемого объекта. На сканере Volume Zoom возможны следующие варианты: 0.5, 0.75, 1, 1.5 сек. Переход к более быстрой ротации ускоряет сканирование, следовательно, увеличивается временная разрешающая способность. Особенно это важно при КТ-ангиографии (КТА), когда за 1 минуту необходимо получить 2 фазы исследования печени: артериальная фаза длится от 15 до 30 секунды от начала введения контрастного вещества, порто-венозная от 60 до 80 секунды.

Коллимация и толщина среза.

Коллимация - ширина пучка рентгеновского излучения. Желаемая коллимация и толщина среза задаются при планировании исследования. Большим преимуществом является возможность ретроспективной реконструкции срезов необходимой толщины после завершения сканирования из полученного массива данных (Таблица). Повторного облучения пациента для этого не требуется.

Таблица. Возможные варианты коллимации пучка излучения и реконструируемых срезов на МСКТ SOMATOM Volume Zoom.

Коллимация Толщина реконструируемых срезов

2х0.5 мм

0.5, 0.75, 1, 1.25, 1.5, 2 мм

4х1 мм

1, 1.25, 1.5, 2, 3, 4, 5, 6, 7, 8, 10 мм

4х2.5 мм

3, 4, 5, 6, 7, 8, 10 мм

4х5 мм

6, 7, 8, 10 мм

Как видно из Таблицы, возможно сканирование двумя коллимированными по 0,5 мм пучками или четырьмя с коллимацией 1, 2.5 или 5 мм. В первом случае сканирование будет медленным - за один оборот трубки покрывается 1 мм (2х0.5 мм) по продольной оси сканируемого объекта. При этом пространственная разрешающая способность будет максимальной. В таком режиме, например, осуществляется сканирование внутреннего уха. В случае сканирования 4 спиралями по 5 мм скорость сканирования максимальна - 20 мм за оборот трубки. Обратной стороной этого является возрастание эффекта усреднения, из-за чего могут быть пропущены мелкие очаги. Считается, что для выявления очагов диаметром d толщина среза должна быть менее 2d. Более подробно это показано на Рис. 1.

Рис. 1. Влияние толщины среза на выявление мелких очагов. (а) При толщине среза 4 мм очаг диаметром 1,8 мм не выявляется из-за эффекта усреднения. (б) При толщине среза 2 мм очаг выявляется.

Следовательно, более тонкая коллимация означает получение большего количества деталей изображения. Обратной стороной этого является не только более медленное сканирование, но и большая доза облучения.

Интервал реконструкции.

Интервал реконструкции (инкремент, сдвиг реконструкции) - степень перекрытия, или сдвиг, при реконструкции аксиальных срезов. Как и в случае с коллимацией, желаемый инкремент задается при планировании исследования с возможностью ретроспективной реконструкции с другим инкрементом. В обычном режиме инкремент равен реконструируемой толщине среза - при этом мы видим изображения без наложения и без пропуска между ними. В некоторых случаях имеет смысл выбрать инкремент меньше толщины среза. Это не только улучшит качество мультипланарных реконструкций, но и поможет выявить дополнительные очаги - Рис. 2.

Рис. 2. Влияние интервала реконструкции на выявление мелких очагов. (а) При сдвиге реконструкции, равном толщине среза (4 мм), очаг диметром 2,2 мм не выявляется. (б) При реконструкции с двойным перекрытием (интервал реконструкции 2 мм) очаг выявляется.

Питч.

Питч - отношение движения стола за полный оборот трубки к коллимации одного среза. В случает 4-срезового томографа Volume Zoom возможен питч от 1 до 8. Понятие питча тесно связано со скоростью сканирования: чем быстрее движение стола, тем выше скорость сканирования. Например, при сканировании в режиме 4х1 мм (4 спирали с коллимацией каждой по 1 мм) и движении стола 8 мм за 1 оборот трубки питч равен 8/1 = 8. Скорость сканирования при этом максимальна, но качество изображения будет хуже, чем при меньшем питче. Увеличивая питч, мы увеличиваем временную разрешающую способность и снижаем дозу облучения ценой снижения контрастной разрешающей способности.

мАс, кВ.

Как и в традиционной рентгенодиагностике, качество КТ-изображения напрямую зависит от количества фотонов рентгеновского излучения, доходящих до детектора. С увеличением мАс снижается нежелательный шум изображения и улучшается контрастная разрешающая способность при увеличении дозы облучения. Как и в предыдущих примерах, улучшение одного параметра качества изображения достигается ценой ухудшения другого и приходится выбирать, что важнее для данной клинической задачи. На этом принципе строится низкодозная КТ легких, для которой необходимо всего 20 мАс в отличие от 90 мАс при стандартном исследовании грудной клетки. 20 мАс оказывается достаточно для выявления очагов в легких, структуры средостения при этом видны очень плохо из-за значительного шума. Доза облучения снижается более чем в 2 раза.

Зависимость качества изображения от кВ во многом аналогична: больше кВ - меньше шум - лучше контрастная разрешающая способность - больше доза облучения. Увеличение кВ имеет смысл у полных пациентов, т. к. достигается большая проникающая способность излучения.

В томографе Volume Zoom имеется ряд технических опций, позволяющих снизить дозу облучения. Функция CARE Dose подразумевает модуляцию силы тока в реальном времени в зависимости от коэффициента ослабления излучения тканями, который в свою очередь зависит от плотности и толщины объекта. При сканировании грудной клетки в сагиттальном направлении толщина тканей меньше - мА снижаются, при сканировании во фронтальной плоскости толщина и плотность тканей (плечевой пояс) выше - мА повышаются (Рис. 3). По заявлению производителя это позволяет снизить облучение пациента до 30%.

Рис. 3. CARE Dose.

Функция Hand CARE предназначена для защиты рук врача при выполнении интервенций под контролем КТ - излучение выключается между 10:00 и 2:00 часами по окружности апертуры гентри.

Алгоритм реконструкции.

Алгоритм реконструкции (или кернель) - математический алгоритм подчеркивания границ объектов. С повышением кернеля границы объектов становятся четче - улучшается контрастная разрешающая способность без дополнительного облучения объекта. Кернель может быть выставлен в пределах от 10 до 90. При этом лучше визуализируются те или иные ткани:
- 20-30-40 - "мягкий" кернель - наилучшая визуализация мягких " тканей;
- 40 - "средний" кернель - все ткани;
- 50-60-70 - "острый" кернель - высокое разрешение - кости, легкие;
- 80-90 - ультравысокое разрешение - височная кость, легкие.

КТ высокого разрешения (КТВР) основана на использовании тонких срезов и высокого кернеля. При этом достигается максимальная контрастная разрешающая способность.

Таким образом, технология 4-срезовой КТ позволяет достичь следующие преимущества перед обычной спиральной КТ:
- Сканировать в 8 раз больше объем (зона покрытия по продольной оси пациента) при том же времени сканирования и разрешении (толщине среза);
- Сканировать в 4 раза быстрее при тех же объеме и разрешении;
- Обеспечить в 4 раза большее разрешение при тех же объеме и времени сканирования.

Клинические примеры.

Количество выполненных в 2002 году исследований и число обследованных пациентов показаны на Диаграмме. 19 февраля 2002 года начал работать МСКТ SOMATOM Volume Zoom (отмечено желтой линией). До этого обследования производились на SOMATOM CR.

Диаграмма. Количество выполненных КТ-исследований и обследованных пациентов.

Как видно, количество обследований c началом работы МСКТ увеличилось в 2 раза. Стали возможны сложные исследования как КТ-ангиографии (271) и интервенции под КТ-контролем (54).

Несколько приводимых ниже клинических примеров призваны продемонстрировать как описанные зависимости между техническими параметрами сканера и качеством изображения используются на практике.

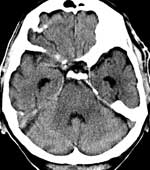
Пример 1. Влияние коллимации и толщины среза на качество изображений. Во всех случаях коллимация 1 мм.


[Увеличить]

Пример 1. Влияние коллимации и толщины среза на качество изображений. Во всех случаях коллимация 1 мм. (Слева) Реконструированная толщина среза 1 мм. (В центре) Толщина среза 4 мм. (Справа) Толщина среза 8 мм.

На изображении (Слева) на область варолиевого моста накладываются артефакты от пирамиды левой височной кости. На изображениях (В центре) и (Справа) они практически отсутствуют, однако при толщине среза 8 мм (Справа) нечетко визуализируется ликворное пространство над правой гемисферой мозжечка. Толщина среза 4 мм в данном случае оптимальна.

Пример 2. Влияние толщины аксиальных срезов на качество MPR реконструкций.


[Увеличить]

Пример 2. Влияние толщины аксиальных срезов на качество MPR реконструкций. (Слева) MPR реконструкция получена из аксиальных срезов толщиной 4 мм. (Справа) MPR реконструкция получена из аксиальных срезов толщиной 1 мм.


[Увеличить]

Изображение (Слева) деградируется из-за ступенчатого артефакта. При построении мультипланарной реконструкции из тонких аксиальных срезов (Справа) качество гораздо лучше, ступенчатый артефакт отсутствует, четко видна спайка в переднем роге бокового желудочка.

Пример 3. Влияние инкремента (интервала реконструкции) на качество MPR реконструкций. Толщина аксиальных срезов, из которых построены обе реконструкции, одинакова и равна 5 мм.


[Увеличить]

Пример 3. Влияние инкремента (интервала реконструкции) на качество MPR реконструкций. Толщина аксиальных срезов, из которых построены обе реконструкции, одинакова и равна 5 мм. (Слева) Инкремент 5 мм. (Справа) Инкремент 1 мм.


[Увеличить]

Изображение (Справа) гораздо качественнее, практически не страдает от ступенчатого артефакта, который сильно выражен на изображении (Слева).

Как видно из Примеров 2 и 3 получить более качественные реконструкции можно двумя путями: из тонких аксиальных срезов без сдвига реконструкции или из толстых с маленьким сдвигом реконструкции.

Пример 4. КТ высокого разрешения пирамиды височной кости. Применены тонкие срезы (0.5 мм) и "острый" алгоритм реконструкции (кернель 90).


[Увеличить]

Пример 4. КТ высокого разрешения пирамиды височной кости. Применены тонкие срезы (0.5 мм) и "острый" алгоритм реконструкции (кернель 90).

(Слева) отчетливо видны элементы внутреннего уха - улитка, полукружные канальцы. (В центре) показана проекция продольного сечения височно-нижнечелюстного сустава. (Справа) - холестеатома.

Изменение работы учреждения.

Новая технология призвана улучшить клиническую практику, создавая новые возможности в диагностике и лечении. Использование многосрезового компьютерного томографа в НИИ онкологии и медицинской радиологии не только изменило работу отделения лучевой диагностики, но и всего учреждения в целом.

Изменение работы отделения лучевой диагностики:
- Изотропическая визуализация - одинаковая разрешающая способность во всех плоскостях: качественные MPR, MIP, SSD, VRT реконструкции;
- Объемная визуализация - реконструкция объемных (3D) изображений: SSD, VRT реконструкции, навигация по массиву данных, удобное и понятное для клинициста представление данных;
- Точнее диагностика: больше разрешающая способность - больше деталей за меньшее время, точнее характеристика образований (несколько фаз контрастного усиления), сканирование при одной задержке дыхания - исключается пропуск очагов;
- Функциональная диагностика: измерение объемов, динамическое исследование (изучение накопления контрастного вещества) - характеристика васкуляризации;
- Удобнее для пациента: меньше задержка дыхания, меньше двигательные артефакты - ослабленные и беспокойные пациенты;
- Экономический эффект: больше пропускная способность, меньше расход контрастного вещества, исключение других диагностических методов.

Изменение работы лечебных отделений:
- Сокращение очереди на КТ: соответственно сокращается длительность госпитализации;
- Изменение тактики лечения: экономический эффект, более точная диагностика и стадирование, возможен скрининг заболеваний (рака легкого);
- Цифровые технологии: доступ к диагностическим изображениям с персонального компьютера, подготовка выступлений, презентаций, потенциальный доступ к изображениям в операционной.

Литература:

1. J. Rydberg, K.A. Buckwalter, K. S. Caldemeyer, M. D. Phillips, D. J. Conces, Jr, A. M. Aisen, S. A. Persohn, K. K. Kopecky. Multisection CT: Scanning Techniques and Clinical Applications. RadioGraphics 2000; 20:1787-1806.
2. AAPM/RSNA Physics. Tutorial for Residents: Topics in CT. Image Processing in CT. D. D. Cody. RadioGraphics 2002; 22:1255-1268.
3. H. Hu, H. D. He, W. D. Foley, S. H. Fox. Four Multidetector-Row Helical CT: Image Quality and Volume Coverage Speed. Radiology 2000; 215:55-62.


О журнале Архив Содержание