БАЗА изображений
"Новостей лучевой диагностики"

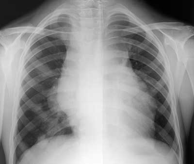
Лучевая диагностика неходжкинских лимфом у детей.
 
1 2 3

Рис. 1. Очаговые изменения в правом легком при неходжкинской лимфоме.


 
Новости лучевой диагностики 1998 5: 10-11