БАЗА изображений
"Новостей лучевой диагностики"

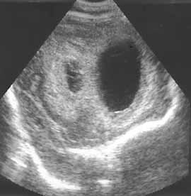
Ультразвуковая диагностика гнойных менингитов у детей первого года жизни.
 
1 2 3 4 5 6 7

Рис. 2. Клебсиелезный менингит. Вентрикулит.


 
Новости лучевой диагностики 1998 4: 18-19