БАЗА изображений
"Новостей лучевой диагностики"

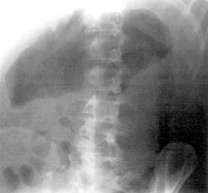
Неспецифический язвенный колит.
 
2 4 5 7 9

Рис. 9. Осложнение - токсический мегаколон.


 
Новости лучевой диагностики 1998 4: 4-6