БАЗА изображений
"Новостей лучевой диагностики"

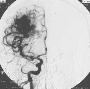
Дигитальная субтракционная ангиография.
 
Схема 1 и 2 3

Рис. 1 и 2. Артерио-венозная мальформация в правой теменной области, заполняющаяся из передней и средней мозговых артерий. Артериальная фаза. Фронтальная проекция.
(Слева) Классическая ангиограмма. (Справа) Дигитальная субтракционная ангиограмма того же пациента. Изображение костей черепа "стерто". При меньшем расходе контрастного вещества сосудистая сеть видна гораздо лучше.
 
 
Новости лучевой диагностики 1998 4: 34-37