БАЗА изображений
"Новостей лучевой диагностики"

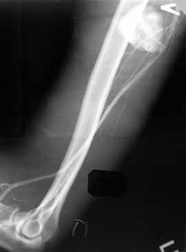
Диагностика острой и хронической патологии артерий конечностей.
 
1 2 3 4

Рис. 4. Посттравматическая ложная аневризма артерии плеча.


 
Новости лучевой диагностики 1998 4: 32-33