БАЗА изображений
"Новостей лучевой диагностики"

МРТ диагностика дегенеративных изменений позвоночника.
 
1 2 3 Продолжение >>>

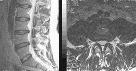
Рис. 1. Диффузная протрузия межпозвонкового диска L3-L4, больше выраженная слева. Узкий позвоночный канал. Сагитальное и аксиальное изображения.


 
Новости лучевой диагностики 1998 4: 24-25