БАЗА изображений
"Новостей лучевой диагностики"

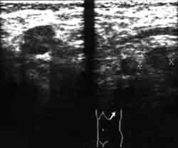
Ультразвуковая диагностика поражения регионарных лимфатических узлов при раке молочной железы.

Рисунок. Метастатические лимфатические узлы при УЗИ характеризуются следующими признаками: бугристый наружный контур, неоднородная структура за счет наличия участков гетерогенной плотности, уплотнения в виде тяжей и рубцов, а также наличие жидкостных участков различной формы и размеров. Сонограмма аксиллярной области. Метастазы рака молочной железы в лимфоузлы.


 
Новости лучевой диагностики 1999 3: 11