БАЗА изображений
"Новостей лучевой диагностики"

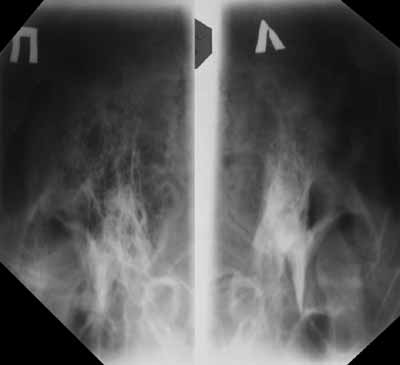
Рентгенологический метод исследования в диагностике эксудативного среднего отита.
 
1 2

Рис. 3б. Латентный мастоидит. В проекции Майера затемнен вход в антрум слева.


 
Новости лучевой диагностики 1999 3: 2-3