БАЗА изображений
"Новостей лучевой диагностики"

Ранняя ультразвуковая диагностика остеохондропатии головки бедра.
 
1 2 3

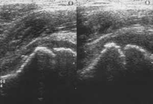
Рис. 3. Сонограммы тазобедренных суставов мальчика 4 лет с коксалгией через 6 недель после начала заболевание. Увеличение ультрасонографического суставного пространства и толщины хрящевого покрова эпифиза на стороне поражения при развивающейся начальной стадии остеохондропатии головки бедра.


 
Новости лучевой диагностики 1999 2: 12-13