БАЗА изображений
"Новостей лучевой диагностики"

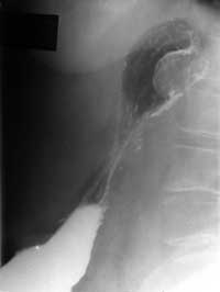
Cлучай лимфосаркомы желудка.
 
1 2

Рис. 2.  Боковая проекция. Дефект наполнения на задней стенке.


 
Новости лучевой диагностики 1999 2: 35