БАЗА изображений
"Новостей лучевой диагностики"

Ультразвуковая диагностика дисплазии тазобедренных суставов.
 
2 3 5 6 7 8

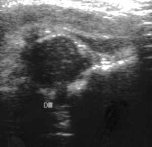
Рис. 6. Несформированный сустав.


 
Новости лучевой диагностики 1998 2: 19-21