БАЗА изображений
"Новостей лучевой диагностики"

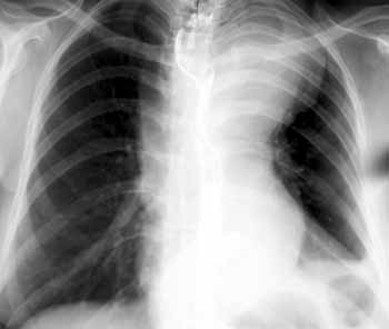
Синдром Марфана.
 
1 4

Рис. 4. Аневризма дуги и нисходящего отдела аорты. При УЗИ брюшной полости выявлено распространение расслоения на брюшную аорту.


 
Новости лучевой диагностики 1998 2: 34-35