БАЗА изображений
"Новостей лучевой диагностики"

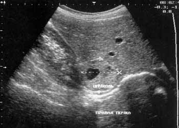
Возможности ультразвуковой диагностики опухолей надпочечников.
 
2 4 5

Рис. 5. Опухоль надпочечника с дегенерацией в центре.


 
Новости лучевой диагностики 2000 2: 26-27