БАЗА изображений
"Новостей лучевой диагностики"

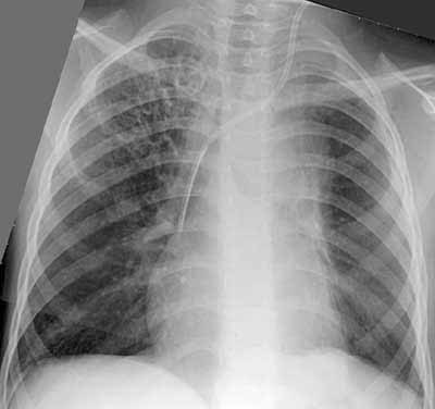
Муковисцидоз.
 
1 2

Рис. 2. Положительная динамика после интенсивного консервативного лечения.


 
Новости лучевой диагностики 2000 2: 32-33