БАЗА изображений
"Новостей лучевой диагностики"

Интроскопическая диагностика рецидива рака прямой кишки.
 
1 2 3 4 5 6

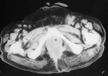
Рис. 6. Рецидив. Метастаз в правую лонную кость - деструкция с тканевым компонентом (между стрелками). Увеличение паховых лимфатических узлов с экстракапсулярным ростом слева (метастазы).


 
Новости лучевой диагностики 1999 1: 21-23