| БАЗА
изображений
журнала "Новости лучевой диагностики" |
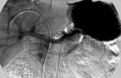
Лучевая диагностика органического гиперинсулинизма.
| 1а | 1б | 1в |
Рис. 1. Дооперационная лучевая топическая диагностика органического
гиперинсулинизма у больной М., 53 лет. Инсулинома головки поджелудочной железы.
(в) Целиакография: в венозную фазу имеется длительная задержка контрастного
вещества в образовании.

|