БАЗА изображений
журнала  "Новости лучевой диагностики"

Лучевая диагностика опухолей височной кости.
 
1 2 3 4

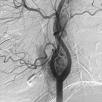
Рис. 4. Ангиограмма. Множественные параганглиомы.


 
Новости лучевой диагностики 2002 1-2: 28-29