БАЗА изображений
журнала "Новости лучевой диагностики"

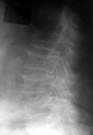
Остеопоротические деформации и переломы позвоночника у больных ревматоидным артритом.
 
1 2 3

Рис. 3. Компрессионная деформация LI .


 
Новости лучевой диагностики 2002 1-2: 20-22