БАЗА
изображений
журнала
"Новости лучевой диагностики"
Эхография в диагностике заболеваний легких у детей.
1
2
3
4
5
6
7
8
9
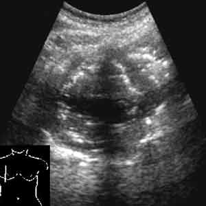
Рис. 7.
Абсцесс легкого.
Новости лучевой диагностики 2002 1-2: 56-60