| БАЗА
изображений
журнала "Новости лучевой диагностики" |
Ультразвуковая диагностика поражений коленного сустава.
| 1 | 2 | 3 | 4 | 5 | 6 | 7 | 8 | 9 | 10 | 11 | 12 | 13 | 14 |
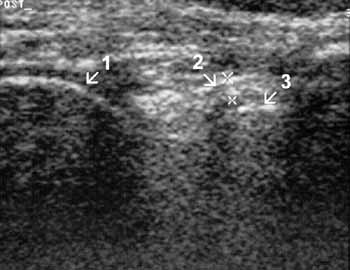
Рис. 13. Коленный сустав в норме. Задняя поверхность сагиттальная проекция.
1 — медиальный мыщелок, 2 (+) — задняя крестовидная связка, 3 — большеберцовая
кость.

|