БАЗА изображений
журнала "Новости лучевой диагностики"

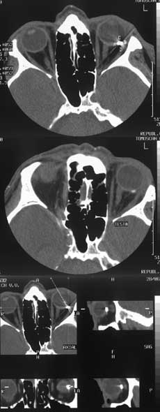
Применение компьютерной томографии в диагностике ранений заднего полюса глазного яблока.
 
1 2

Рис. 2. Применение мультипланарных реконструкций позволяет определить точную локализацию инородного тела по отношению к структурам орбиты, его взаимоотношение с оболочками глазного яблока.


 
Новости лучевой диагностики 2002 1-2: 40-41