БАЗА изображений
"Новостей лучевой диагностики"

Внутриполостное ультразвуковое исследование в диагностике рака мочевого пузыря и предстательной железы.
 
<<< Начало 9 и 10 11 и 12 13 и 14 15

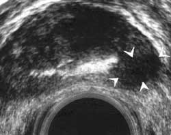
Рис. 15. Трансректальная эхограмма. Рак предстательной  железы. Гипоэхогенный узел.


 
Новости лучевой диагностики 2001 1-2: 40-46