БАЗА изображений
"Новостей лучевой диагностики"

Состояние и перспективы рентгеноэндоваскулярных вмешательств в онкологии.
 
<<< Начало 1 2 3

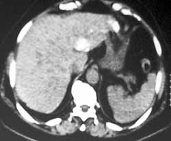
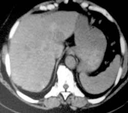
Рис. 1. Рак печени. (Слева) При КТ органов брюшной полости до химиоэмболизации  во II сегменте нечётко определяется патологический очаг размером до 2,0 см. (Справа) После введения масляных химиоэмболов денситометрическая плотность образования резко увеличилось.
 
 
Новости лучевой диагностики 2001 1-2: 34-36