БАЗА изображений
"Новостей лучевой диагностики"

Хронические нарушения висцерального кровообращения.
 
1 2 3 5 7

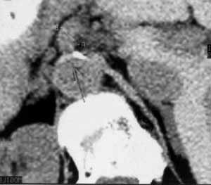
Рис. 7. КТ-томограмма. Кальцинированная бляшка в устье чревного ствола. Атеросклероз брюшной аорты.


 
Новости лучевой диагностики 2000 1: 8-11