На главную страницу
На главную

 
 
О журнале Архив Содержание

(Новости лучевой диагностики 1998 5: 32-33)

Вертебральная ангиография.

Гончар А. А.1, Гончар И. А.2

1Белорусский институт усовершенствования врачей, 2НИИ неврологии, нейрохирургии и физиотерапии.

Вертебральная ангиография (ВАГ) применяется для исследования сосудов задней трети полушарий головного мозга и задней черепной ямки.

Впервые вертебральную ангиографию выполнил Tanahashi в 1940 г. пункцией вертебральной артерии передним доступом. С тех пор разработаны различные методы контрастирования позвоночных артерий.

По способу введения контрастного вещества в сосуд различают пункционные и катетеризационные методы, которые могут, в свою очередь, осуществляться открытым или закрытым путем. В настоящее время открытый метод, при котором обнажали и пунктировали вертебральную артерию , а затем вводили в нее контрастное вещество не применяется. Закрытый метод включает две основные методики чрескожной пункции вертебральной артерии:
- из переднего доступа;
- из бокового атланто-окципитального доступа.

В зависимости от места пункции сосуда и техники введения контрастного вещества эти методы подразделяются на две группы:
1. прямые, при которых для введения контрастного вещества пунктируется вертебральная артерия;
2. непрямые, или ретроградные, при которых пунктируются другие сосуды, а рентгеноконтрастное вещество с помощью катетера вводится вблизи устья вертебральных артерий или в сами сосуды (1).

Методы прямой пункции вертебральной артерии имеют ряд крупных недостатков: техническая трудность пункции артерии, невозможность проведения иглы в просвет сосуда и связанная с этим ненадежная фиксация иглы, спазм и даже тромбоз вертебральной и базиллярной артерий, параартериальное введение контрастного вещества, возможность повреждения ветвей плечевого сплетения и спинного мозга, выявление только дистальной части позвоночной артерии (1).

В настоящее время используются непрямые методы контрастирования вертебральной артерии после чрезкожной пункции:
- подключичной артерии в надключичной области (наиболее частыми осложнениями являются: образование гематомы в месте пункции артерии и затекание крови в переднее средостение, прокол плевры и верхушки легкого, повреждение ветвей плечевого сплетения);
- подключичной артерии в подключичной области;
- плечевой артерии;
- подкрыльцовой артерии;
- сонной артерии;
- внутренней артерии грудной железы;
- бедренной артерии. (благодаря своим преимуществам метод получил наиболее широкое распространение).

Для проведения вертебральной дигитальной субтракционной ангиографии нами используется методика трансфеморального доступа по Сельдингеру (3,4,6). Ангиографическое исследование включает 9 этапов: 1) определение показаний и противопоказаний; 2) подготовка больного к исследованию; 3) пункция сосуда; 4) катетеризация сосуда; 5) регистрация давления; 6) введение контрастного вещества; 7) рентгеновская съемка ангиографического изображения; 8) удаление катетера; 9) анализ результатов ДСА (2).

Подготовка больного к нейрорадиологическому обследованию прежде всего включает психологическое разъяснение необходимости его проведения. На ночь назначают транквилизирующие средства. В день исследования больной не ест. За 30 мин. до исследования производят премедикацию (реланиум или диазепам 0,5% 2-4 мл внутримышечно). ВАГ проводится под местной или общей анестезией.

Чрескожная катетеризация бедренной артерии по Сельдингеру выполняется с помощью специального набора инструментов, состоящих из иглы, металлического проводника с мягким концом и катетера (Рисунок). Мы используем модифицированные церебральные катетеры HILAL типа HEADHUNTER размером 4-5 F (по French). Больного укладывают на спину на специальном столе для ангиографий и приводят правую ногу в состояние максимальной пронации. Предварительно выбритую правую паховую область смазывают йодом, а затем протирают спиртом и изолируют одноразовыми стерильными простынями, чтобы приготовить обширную стерильную площадку для проводника и зонда. Левой рукой пальпируют на внутренней поверхности нижней конечности на 2 см ниже пупартовой связки бедренную артерию и фиксируют между указательным и средним пальцем. Тонкой иглой производят анестезию кожи и подкожной клетчатки 2%-ным раствором новокаина так, чтобы не потерять ощущение пульсации артерии. Дозировка зависит от толщины подкожной жировой клетчатки. Спустя несколько минут скальпелем делается разрез кожи длиной длиной 5-6 мм. Затем в место разреза под углом 45о на глубину 10-30 мм вводится зажим с обязательным проколом. Вышеописанные манипуляции позволяют ненарушить целостность катетера или бужа. В место разреза вводят иглу, конец которой стараются направить на стенку бедренной артерии. Наклонив наружный конец иглы к коже, быстрым коротким движением вперед прокалывают переднюю стенку сосуда, из которого под давлением пульсирует кровь. Но чаще игла проходит обе стенки сразу, и тогда кончик иглы попадает в просвет сосуда только при движении ее в обратном направлении. Иглу наклоняют еще более к бедру, извлекают из него мандрен и вставляют металлический проводник, кончик которого продвигают в просвет артерии на 10-15 см в центральном направлении под пупартову связку. Дальнейшее продвижение проводника, особенно у лиц старше 50 лет, необходимо осуществлять только под рентгенконтролем до уровня D12. Через кожу указательным пальцем левой руки фиксируют проводник в просвете артерии, а иглу извлекают наружу. Прижатие пальцем предупреждает извлечение из артерии проводника и просачивание мимо него под кожу артериальной крови. На наружный конец проводника надевается дилататор (буж), соответствующий в диаметре вводимому катетеру. Дилататор вводят, продвигая по проводнику на 2-3 см в просвет бедренной артерии. После удаления дилататора на проводник надевают катетер 4-5F. Направляя катетер по аорте краниально под контролем рентгеновского экрана, устанавливают его в левой подключичной артерии и одновременно правой рукой продвигают металлический проводник каудально и фиксируют в просвете катетера на уровне D5-D6. Развернув кончик катетера медиально и кзади, вводят его в левую вертебральную артерию до уровня С3-С4. Удалив проводник, подсоединяют катетер к автоматическому инъектору и производят серию рентгеновских снимков.

На основании собственного опыта мы рекомендуем у лиц старше 50 лет, особенно у мужчин, сначала вводить проводник в вертебральную артерию, а затем по проводнику катетер до уровня С6-С7. У больных, страдающих гипертонической болезнью, имеется повышенная извитость a.vertebralis в месте отхождения ее от a.subclavia, что осложняет проведение селективной вертебральной ангиографии. При массивном атеросклеротическом поражении вертебральной артерии не удается ввести катетер в эту артерию. В этом случае необходимо установить кончик катетера в a.subclavia ниже места отхождения a.vertebralis отхождения a.vertebralis и произвести инъекцию рентгеноконтрастного препарата в количестве 6-7 мл со скоростью 6-7 мл/с.

Для полного исследования вертебро-базиллярного бассейна необходима ВАГ с двух сторон, так как при ангиографии с одной стороны остается невизуализированной внутричерепная часть противоположной вертебральной артерии до места ее соединения с основной (3,5). Достаточно получить ангиограммы в стандартной прямой проекции с краниальной ангуляцией 25-30о. Но в боковой проекции краниальная ангуляция не применяется. При выявлении мешотчатых аневризм развилки базиллярной артерии возникают трудности в визуализации шейки аневризмы. В этом случае мы используем как стандартные косые проекции, с поворотом электронно-оптического преобразователя на 30-40о, и краниальной или каудальной ангуляцией 15-30о, так и контрлатеральные косые проекции с поворотом рентгеновской трубки на 10-30о, с краниальной ангуляцией 15-30о. Поля изображения используем как стандартные (17 см), так и расширенные (23 и 33см).
В качестве рентгеноконтрастных препаратов рекомендуются ультравист-300, омнипак-300, урографин 76%. Больным, находящимся в тяжелом состоянии, применяем только неионные рентгеноконтрастные препараты (омнипак, ультравист). Обычно при введении в артериальное русло рентгеноконтрастное вещество разводится в соотношении 1:3 физиологическим раствором. Проводя исследование мы ограничиваемся введением 3 мл контраста, при скорости введения 4 мл/с. Выполняя ангиографию в профильной проекции, скорость инъекции можно уменьшить до 3 мл/с.

Преимуществом методики является то, что:
1. требуется малое количество рентгеноконтрастного препарата с низкой, более щадящей для больного, скоростью введения;
2. значительно улучшается качество рентгеновского изображения сосудов ВББ при селективной установке катетера в базиллярной артерии.

За три года работы нами не отмечено ни одного случая осложнений при выполнении ДСА сосудов вертебробазилярного бассейна.

Таким образом, в ближайшее время ДСА будет играть важную роль в обследовании больных нейрохирургического (Рисунок) и неврологического профиля. Владение техникой исследования, использование современной аппаратуры и квалифицированная трактовка ангиограмм позволяют производить ангиографию с минимальной лучевой и контрастной нагрузкой на пациента и свести на нет риск возможных осложнений.
 
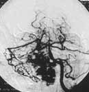
Рисунок. Левосторонняя вертебральная ангиограмма. Артериальная фаза. Артерио-венозная мальформация правого полушария мозжечка. (а) Фронтальная проекция.

 
Рисунок. Тот же пациент. (б) Левая боковая проекция.

Литература:

1. Злотник Э.И., Антонов И.П., Кастрицкая З.М. и др. Ангиографическая диагностика сосудистых поражений и опухолей головного мозга. Мн., 1973.
2. Руководство по ангиографии. /Под ред. Рабкина И.Х. М., 1977.
3. Anne G. Osborn. Handbooks in radiologi series. St. Louis, 1991.
4. Bockenheimer St., Reinhuber F., Mohs C. // Radiologe, 1991. Vol.31. P. 210-215.
5. Celesia G.G., Strother C.M., Turski P.A. et al. // Arch. Neurol., 1983. Vol.140. P. 70-74.
6. Myerowitz P.D. // Clin. Cardiol. 1982. Vol.5. P. 623-629.
 

О журнале Архив Содержание