На главную страницу
На главную

 
 
О журнале Архив Содержание

(Новости лучевой диагностики 1998 5: 30-31)

Продолжение. Читайте начало в номере 4 за 1998 год.

МРТ диагностика дегенеративных изменений позвоночника.

Лихачевская М. А., Здоровец Л. А., Зюзькова И. В., Шиленок С. П.

Гомельская областная клиническая больница.

Иногда возникали диагностические сложности при диагностике фораминальных, некоторых секвестрированных грыж, которые потеряли контакт с диском и далеко сместились в спинно- мозговом канале. В 5 случаях пришлось дифференцировать секвестрированную грыжу с опухолями и эпидуральными абсцессами. Секвестры существовали длительное время, были заключены в рубцовую ткань, введение магневиста способствовало получению высокого сигнала в виде ободка вокруг секвестра, что помогло отдифференцировать его от опухоли (Рис. 1).
 
Увеличить
 
Рис. 1. Большая секвестрированная грыжа диска L5-S1. (а) Сагитальный скан до контрастирования.

 
Увеличить
 
Рис. 1. Большая секвестрированная грыжа диска L5-S1. (б) Аксиальный скан после введения магневиста.

Иногда имелись сложности при дифференциации секвестров и эпидуральных венозных сплетений, особенно если эти секвестры давали высокий сигнал на Т2w, когда и венозные сплетения выглядели светлыми. Использование Т2w в GRE последовательности или применение магневиста помогало провести дифференциацию и правильно определить тактику лечения. Следует отметить, что расширение венозных сплетений, застой крови в них ведут к возникновению перидурального отека, уменьшению резервных пространств и компрессии содержимого дурального мешка.

Для решения вопроса о наличии рецидива грыжи у оперированных больных и дифференциации ее с рубцовым изменением мы использовали магневист, обычно рубцовые изменения после введения магневиста давали усиление сигнала на Т1w изображении.

Мы наблюдали ряд больных, которые давали клиническую симптоматику, схожую с грыжей МД, однако признаков выпадения дисков у них не было выявлено. Был диагносцирован узкий спинно-мозговой канал (у 90 человек). Спинно-мозговой канал был сужен в сагиттальном направлении. При врожденном спинальном стенозе даже гипертрофия связок, небольшие выпадения и остеофиты вызывали тяжелые страдания. К стенозу спинно-мозгового канала и межпозвонковых отверстий и каналов привели:
- костный стеноз в 80% ( гипертрофия суставных фасеток, остеофиты замыкательных пластинок, гипертрофия малых межпозвонковых суставов);
- изменения связочного аппарата в 20%.

При распространениях 2-сторонних спондилоартрозов межпозвонковых суставов мы наблюдали форму спинно-мозгового канала в виде "листа клевера". Изолированные стенозы боковых карманов и стенозы межпозвонковых отверстий наблюдали при гипертрофии фасеток. Размер карманов меньше 4 мм представляет собой относительный стеноз, меньше 2 мм - абсолютный стеноз.

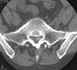
Остеофиты имеют различную интенсивность МРТ-сигнала, в зависимости от содержания костного мозга. Они могут быть бедны сигналом на всех изображениях или на T1w давать высокий сигнал, а на T2w - сигнал средней интенсивности. В первом случае дифдиагностика остеофитов с тканью диска, имеющей низкий сигнал, затруднена. В 2-х случаях при обычных исследованиях такие остеофиты были приняты за грыжи дисков и больные с узким спинно- мозговым каналом были оперированы. Применение Т2 GRE последовательности могло помочь в дифференциации остеофита и ткани диска. На данных изображениях компактные остеофиты дают более низкий сигнал, чем ткань диска. GRE-последовательности предпочтительнее для выявления костного стеноза, однако менее информативны в трактовке интрамедуллярного процесса (Рис. 2).
 
Увеличить
 
Рис. 2. Обызвествленная пролабированная часть диска L5-S1 в правом латеральном кармане. (а) Имеет пониженную интенсивность при GRE  последовательности (стрелка).

 
Увеличить
 
Рис. 2. Обызвествленная пролабированная часть диска L5-S1 в правом латеральном кармане. (б) Обызвествление хорошо видно на КТ.

Т1 GRE- последовательности более предпочтительны для получения изображения межпозвонковых суставов и желтой связки. Утолщение желтой связки более 5 мм считается патологическим.

Следует отметить, что КТ четко выявляет признаки деформирующего остеоартроза суставов, остеофиты, обызвествленную часть диска, обызвествление и окостенение связок.

Выводы:

1. МРТ дает возможность дифференцировать протрузию и пролабирование более отчетливо, чем другие методики; выявляет наиболее ранние признаки дегенеративных изменений МД и тел позвонков.
2. Методика МРТ-исследования зависит от области исследования и от поставленной цели. Исследование следует начинать с использования программ с длинным TR в SE- последовательности в сагиттальной плоскости, затем проводят исследования области патологических изменений в аксиальной проекции в SE или GRE-последовательности в зависимости от ситуации. Начинающиеся формы дегенеративных изменений лучше видны на SE. GRE-последовательность следует применять для дифференциальной диагностики остеофитов, венозных сплетений и секвестров.
3. В некоторых случаях для дифференциации рецидивов грыжи и рубцовых изменений, секвестрированной грыжи и опухоли необходимо применение контрастных веществ.
4. КТ более рационально использовать при диагностике костного стеноза, для выявления остеофитов, деформирующего остеоартроза, обызвествлений и окостенений.

Литература:

1. Бокарев В.С., Савченко А.П., Терновой С.К./Вестник рентгенологии и радиологии.-1989, N6, стр.24-28.
2. Дмитриев А.Е., Жильцов В.К., Вавилов С.Б., Нуднов Н.В., Мартынова Н.В., Кошелева Н.В. Компьютерная томография в диагностике дегенеративно- дистрофических поражений позвоночника./Клиническая медицина-1990, -N4, -стр.93-95.
3. Терновой С.К., Ахадов Т.А., Тарасова И.Е., Кравцов А.К., Белов С.А., Сачкова И.Ю. /Вестник рентгенологии и радиологии.-1994, -N2, стр.30-31.
4. Felix R., Heshiki A., Hosten N., Hricak H. Magnevist/Oxford, 1994, p.41-46.
5. Zange S., Grumme Th., Kluge W., Ringel K., Meese W. Zerebrale und spinale computertomographie./Berlin.-1988. -p.210-226.
6. Modic M.T., Ross J.S., Carter J.R. Imaging of degenerative disk discase./Radiology 168 (1988), p.177-186.
7. Reiser M., Semmler W. Magnetresonanztomographie./Berlin, Heidelberg 1992, p.339-344.
8. Magnetic resonance Imaging of the Brain and Spine Editor, Scott W. Atlas 1991, p.795-865
9. Ju S., Haughton, Sether Z.A., Wagner M., Ho K.C Criteria for classifying normal and degenerated lumbar intervertebral disks./Radiology 170 (1989), p.523-526.
 

О журнале Архив Содержание