На главную страницу
На главную

 
 
О журнале Архив Содержание

(Новости лучевой диагностики 1999 2: 18-19)

Hewlett Packard - расширяя границы возможного.

Матвейков А.

Представитель Хьюлетт-Паккард в Беларуси.

Компания Хьюлетт-Паккард на протяжении уже многих лет является признанным лидером среди производителей специализированных ультразвуковых сканеров для исследования сердечно-сосудистой системы. Это подтверждается ее рейтингом как компании №1 по результатам опросов Американской кардиологической ассоциации и журнала Medical Imaging. В Беларуси аппараты  SONOS обеспечивают проведение диагностики и мониторинга в Республиканском кардиохирургическом и Детском хирургическом центрах, 7-ой клинической больнице (г.Минск) и Республиканском НПЦ детской онкологии и гематологии.
Флагманом ряда эхокардиографов Хьюлетт-Паккард является система SONOS 5500, обладающая всеми стандартными режимами сканирования систем высшего класса, включая ангиорежим и тканевой допплер. Остановимся лишь на некоторых его уникальных возможностях и технологиях.

- В результате применения новых технических решений была создана абсолютно новая технология Fusion Imaging (комбинированное, или совмещенное формирование изображения), устанавливающая новые стандарты качества двумерного изображения. Эта технология дает возможность пользователю одновременно контролировать проникающую способность, пространственное и латеральное разрешение УЗ-изображений для получения максимальной детализации отображения глубоких анатомических участков без потерь качества. Fusion Imaging интегрирует изображения, полученные в низкочастотном и высокочастотном диапазонах в одном кадре. Качество получаемого «совмещённого» изображения превышает таковое, полученное на низких или высоких частотах, что выражается в улучшении визуализации текстуры ткани, контрастного разрешения. Фьюжин процессор способен достичь этого за счёт уменьшения зернистости, которая в значительной степени зависит от используемой частоты. Процессор интегрирует различные частотные диапазоны, что в результате и обеспечивает существенное уменьшение зернистости изображения. Контроль частотного совмещения позволяет управлять качеством изображения, варьируя между характеристиками пенетрации, текстуры и разрешения. Система SONOS 5500 предлагает 5 различных установок. Для обеспечения гармонического изображения Фьюжин процессор отфильтровывает передаваемые основные частоты, где находятся все основные элементы зернистости, подавляя низкочастотный компонент и обращая внимание только на высокие частоты – гармоническую информацию. Таким образом, мы можем слушать только специфические для ткани сигналы.

- Разработанные компанией Хьюлетт-Паккард уникальные технологии количественной оценки функции левого желудочка обеспечивают непревзойденные диагностические возможности. Пакет включает уникальную функцию акустической денситометрии (Acoustic Densitometry — AD), которая позволяет измерять усредненную интенсивность акустического сигнала (например, при эхоконтрастном исследовании) в В-режиме в зоне интереса за временной интервал, определяемый пользователем.

- Интегрированная в SONOS 5500 цифровая технология количественного анализа насосной функции сердца (Acoustic Quantification — AQ) позволяет автоматически очерчивать границу кровь/эндокард и, таким образом, автоматически измерять и отображать на дисплее фракцию выброса, конечный систолический и конечный диастолический объемы левого желудочка, максимальную, минимальную и среднюю скорости изгнания и наполнения для каждого сердечного цикла без остановки изображения – в реальном времени. На сегодня акустический объемный анализ остается единственной ультразвуковой методикой, дающей количественную информацию о левом желудочке в реальном времени.

Как это работает:

1. AQ анализирует необработанные акустические сигналы перед тем, как они превращаются в видеоизображение.

2. Технология автоматического определения границ классифицирует каждый пиксел ультразвукового изображения как кровь или ткань, таким образом идентифицируя и обводя внутренние границы сердца. Это снимает необходимость в долгом ручном трассировании границ эндокарда.

3. AQ рассчитывает площадь и объем крови в реальном времени в каждом кадре в пределах определенной врачом зоны интереса.

4. AQ представляет полученную информацию в виде волновых кривых и цифровых показателей, позволяя наблюдать постоянно изменяющиеся объективные данные о площади и объеме левого желудочка, фракции выброса, а также другие параметры в пределах сердечного цикла.

- При анализе региональной и глобальной подвижности стенки сердца для оценки функции левого желудочка основным ключевым критерием является определение движения каждого сегмента по отношению к другим. Изменение подвижности не всегда легко визуализировать, поэтому была разработана технология цветового кинеза (Color Kinesis — CK), которая представляет собой недоплеровское цветовое картирование изменений положения границы кровь/эндокард за равные временные микроинтервалы (40мс) для каждого сердечного цикла и обеспечивает контроль сокращения стенок сердца в реальном масштабе времени, позволяя легко и наглядно выявлять зоны а-, гипо-, гиперкинезии. Особенно хорош цветовой кинез при проведении нагрузочных проб.

Как это работает:

1. Определение подвижности стенки сердца рассчитывается на основании интегрированных данных об отраженном сигнале, идентифицируя место изменения сигала от ткани к крови или от крови к ткани.

2. CK оконтуривает эти границы и их смещения, а затем проводит цветовую кодировку движения эндокарда для точного отображения (в каждом кадре и в реальном времени) последовательных стадий движения стенки в течение всего сердечного цикла.

3. Цветовые кольца изменяются во времени для отображения протяженности и синхронности сокращения или расширения, что позволяет оценить подвижность стенки с большей уверенностью.

- Интегрированная система цифрового динамического Стресс-Эхо, включает аппаратное и программное обеспечение для проведения эхокардиографических исследований с дозированной физической нагрузкой или медикаментозными пробами с сохранением движущихся изображений в цифровом виде на магнитооптическом диске и расширенной кинопетлей в формате 1, 2, 4 или 8 экранов в одном дисплее. Новый набор мощных возможностей программы помогает легко оценить степень ишемической болезни сердца и жизнеспособности миокарда – как с контрастными веществами, так и без них.

Гибкие протоколы стресс-исследования; возможность переименовывать стадии и позиции или добавлять новые во время исследования; возможность временного выхода из протокола стресс-исследования для получения дополнительной информации; режим сравнения для сопоставления изображения в покое с изображением, которое выводится на экран; отложенный просмотр и идентификация петель – это неполный перечень дополнительных функций к стандартному протоколу стресс-исследования.

- Практически в каждом УЗ-приборе существует горизонтальная регулировка усиления, т.е. регулировка усиления по секторам в зависимости от глубины сканирования. Система SONOS 5500 имеет дополнительную регулировку усиления по секторам параллельно ходу ультразвуковых лучей. Это позволяет компенсировать затухание УЗ-энергии в ткани миокарда без увеличения в камерах сердца, что невозможно при наличии лишь усиления по горизонтали.

- Режим акустической кинопетли (не путать с непрерывной кинопетлей) предоставляет возможность покадрового просмотра изображений, полученных при высокой частоте кадров (более 300Гц).

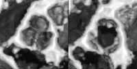
- В систему SONOS 5500 интегрирована уникальная цифровая технология получения трехмерных (3D) изображений сердца (Рисунок)с помощью омнипланового чреспищеводного или специального 3D мультипланового трансторакального датчиков. Новые датчики семейства Ultraband извлекают больше полезной информации, чем когда-либо ранее, благодаря использованию широчайшего диапазона частот. Кроме того, компания Хьюлетт-Паккард повысила верхнюю границу рабочего частотного диапазона датчиков Ultraband до 15,0 МГц. Одновременное сканирование на высоких и низких частотах позволяет добиться лучшей проникающей способности для визуализации глубоких анатомических зон или лучшего разрешения изображения или комбинации этих параметров для выявления текстуры ткани.
 
Увеличить
 
Рисунок. SONOS 5500, трансторакальный омниплановый датчик. Трёхмерная реконструкция аортального клапана в закрытом и открытом положении.

- Кроме того, компания Хьюлетт-Паккард представляет новое поколение средств цветовой визуализации потоков — обработку цветового картирования потока в адаптивном режиме (adaptive-color-flow). Данная функция в системе SONOS 5500 максимально увеличивает чувствительность цветового изображения потока благодаря автоматическому выбору оптимальной доплеровской частоты. Эта автоматическая функция устраняет необходимость пользователей в постоянной ручной перенастройке доплеровских частот при изменении глубины сканирования и гарантирует, что в любой момент выбранная частота является оптимальной, что улучшает чувствительность и упрощает работу на системе.
 

О журнале Архив Содержание