На главную страницу
На главную

 
 
О журнале Архив Содержание

(Новости лучевой диагностики 1998 2: 24-25)

Компьютерная томография в диагностике опухолевого поражения органов малого таза.

Ваганов Ю. В., Руцкая Е. А.

НИИ онкологии и медицинской радиологии МЗ РБ им. Н.Н.Александрова.

Компьютерная томография (КТ) вобрала в себя последние достижения рентгеновской и вычислительной техники. Она впервые, не имея аналогов в прошлом, позволила получить не только косвенные, но и прямые данные о структуре различных органов малого таза. Однако из-за костей таза и массива мышц определение опухолевых изменений в этой области затруднено при использовании общепринятых рентгенологических методов и УЗИ.

Целью настоящего исследования явилось изучение результатов КТ, полученных при обследовании больных с подозрением на опухоль мочевого пузыря, матки с придатками, предстательной железы и прямой кишки.

Материалы и методы исследования.

Обследовано 362 больных (243 мужчин и 119 женщин) в возрасте от 16 до 75 лет, поступивших в НИИ онкологии и медицинской радиологии с опухолевыми изменениями органов малого таза.

Для исследования органов малого таза необходимо контрастирование петель кишечника, которое достигается тем, что за 12 часов до исследования пациент выпивает 5-10 мл любого воднорастворимого контрастного препарата, растворенного в 200 мл воды и такое же количество за 15-30 минут до исследования.

Затем пациент с полным мочевым пузырем укладывается на спину на столе КТ-аппарата (“Somatom”, фирмы “Siemens”) и выполняется топограмма, по которой выбирается уровень начала исследования — последовательное сканирование от нижнего края седалищных костей кверху с толщиной среза и шагом от 2,0 до 8,0 мм; для изучения небольших изменений в органах и тканях использовались сканы — 2,0 мм. При обследовании области промежности во влагалище и прямую кишку вводили томпоны с воднорастворимым контрастным веществом. Бариевая взвесь не применялась из-за грубых артефактов.

Результаты исследования.

При КТ обследовании 108 больных с подозрением на опухоль мочевого пузыря возникли трудности, связанные с правильной оценкой состояния его стенок в аксиальной проекции.

Так, в дорсальной части стенку мочевого пузыря у мужчин полностью проследить не удается из-за тесно прилежащей предстательной железы, а у женщин из-за матки и влагалища, имеющих со стенкой пузыря одинаковую плотность (+35- +45 ед Н). А в случае переполнения мочевого пузыря в его верхнюю часть иногда “провисает” клубок тонкого кишечника, что может напоминать дополнительное образование.

Поэтому у 12 больных для уточнения количественных параметров мочевого пузыря, после предварительного опорожнения через катетер, в его полость вводилось оптимальное, на наш взгляд, количество жидкости — 150-200 мл или идентичное по объему количество газа.

У 25 больных при подозрении на диффузное утолщение стенок мочевого пузыря, что оказалось следствием цистита, измерение мышечной стенки проводилось только на уровне максимальной окружности, так как в краниальном и каудальном отделах определялся скошенный срез.

После трансуретрального удаления опухоли рубцовая ткань у 21 больного выглядела в виде неравномерного утолщения внутреннего контура стенки мочевого пузыря, переходящего в легкую волнистость, с четкой ровной наружной поверхностью.

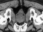
У 19 больных внутрипузырные папилломатозные разрастания хотя и были обнаружены с помощью полипозиционной КТ, но преимущественно в области тела мочевого пузыря и начиная с размера — 10-15 мм (Рис. 1) В то же время недостаточная КТ диагностика внутрипузырных дополнительных образований в области дна и крыши мочевого пузыря значительно снижает ее применение по сравнению с традиционной цистоскопией.
 
Рис. 1. Внутрипузырные папилломатозные разрастания.

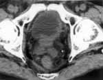
При опухолях размерами свыше 25-45 мм у 43 больных выявилось их прорастание за пределы мочевого пузыря, что выразилось в увеличении и уплотнении паравезикулярной клетчатки. После полипозиционного КТ-обследования мочевой пузырь оставался фиксированным в области прорастания опухоли. У 5 мужчин трудно было дифференцировать рак дорсальной части мочевого пузыря (Рис. 2) и опухоль предстательной железы, а у 2 женщин — опухоль матки. Проанализированы данные КТ, полученные при обследовании 67 женщин с подозрением на опухоль матки и придатков.
 
Рис. 2. Дифференциальная диагностика рака дорсальной части мочевого пузыря и опухоли предстательной железы затруднительна.

У 12 больных Т3 стадии при КТ выявилась асимметрия и умеренное уплотнение соединительной ткани параметрия на стороне поражения, у 7 — Т3-4 при динамическом наблюдении удалось уточнить, что увеличенная часть матки, тесно прилегая к параметрию полностью вовлекла его в опухолевый процесс. При Т4 стадии у 23 больных раковая инфильтрация помимо параметрия доходила до стенок таза. При такой степени инвазии опухолевой инфильтрации в мышцы таза матка прочно фиксировалась к одной стороне, что наглядно подтверждалось при дополнительном полипозиционном КТ обследовании. Причем такой путь распространения встречается чаще (примерно, в 70%), чем врастание в брюшину, мочевой пузырь или прямую кишку.

При КТ исследовании яичников у 25 больных применялось последовательное сканирование, которое позволило лишь в 60% выявить их на здоровой стороне, начиная преимущественно с 15 мм. По плотности кисты яичников (13 больных) напоминали крупные фолликулы — +9-+20 ед Н, имеющие четкие ровные контуры, правильную округлую или овальную форму. Более плотные кисты (+20-+35 ед Н), возникающие вследствие кровотечений, так называемые “шоколадные”, у 5 больных имели неоднородную структуру. Отличить кисту яичника, тем более “шоколадную” денситометрически от опухоли, не всегда возможно. По данным ряда авторов более 2/3 истинных опухолей, возникшие в виде серозных и т.д. образований, имеют все типичные критерии кисты яичника.

Среди наших больных у 7 женщин были выявлены цистоаденокарциномы, никак не проявившие себя при КТ. Лимфатические узлы в этой области обычно до 5,0-7,0 мм в размерах, а при метастатическом поражении редко превышают 10 мм, что не позволяет надежно диагностировать их при КТ исследовании.

Изучены также данные КТ, полученные при обследовании 112 больных с подозрением на рак предстательной железы (ПЖ).

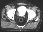
У 23 больных злокачественная опухоль выявлена при КТ благодаря появлению асимметричности и бугристости контуров ПЖ, а также уплотнению отдельных участков паренхимы на +5-+17 ед. Н (Рис. 3). В 27 случаях способствовало выявлению рака ПЖ нерезкое отграничение от окружающей жировой ткани. Но наиболее частыми признаками рака ПЖ служили изменения в семенных пузырьках (53 случая), что проявлялось, в первую очередь, в уменьшении острого угла между продольной их осью и задней стенкой мочевого пузыря. Фиксацию семенных пузырьков опухолевой инфильтрацией можно подтвердить посредством КТ в положении больного на спине и на животе. При отсутствии инфильтрации в положении больного на спине, обнаруживалось смещение пузырьков на несколько миллиметров в дорсальную сторону, а в случае инфильтрации опухолью их локализация оставалась неизменной.
 
Рис. 3. Рак простаты выявлялся при КТ благодаря асимметричности и бугристости контуров железы, а также уплотнению отдельных участков паренхимы на +5-+17 ед. Н.

Увеличение регионарных лимфатических узлов при раке ПЖ можно обнаружить посредством КТ лишь в очень редких случаях, так как они часто не превышают 8,0-10,0 мм, что не позволяет исключить или подтвердить их метастатическое поражение.

У 75 больных при подозрении на рак прямой кишки перед КТ выполнялось пальцевое исследование, ректороманоскопия и ирригоскопия. В 15 случаях выявленные другими методами нечетко очерченная инфильтрация и ригидность стенки (“айсберг”) кишки при КТ-исследовании оказались массивным параректальным опухолевым компонентом (Рис. 4), а у 4 больных с почти кольцевидной инфильтрацией. Наибольшие трудности в определении опухолевых изменений в аксиальной проекции из-за “скошенности” среза возникали вблизи ректосигмовидного изгиба (17 больных). При операции в 9 случаях выявлено прорастание опухоли в параректальную клетчатку, не определенное ранее при КТ. Глубина инвазии опухоли не превышала 8,0-1,2 мм; у 11 больных в лимфатических узлах едва достигших 6,0-8,0 мм в наибольшем измерении, при гистологическом исследовании были обнаружены раковые клетки.
 
Рис. 4. Параректальный компонент рака прямой кишки.

В послеоперационном периоде ложе удаленной прямой кишки наиболее доступно для КТ- визуализации, чем для других методов диагностики за счет ее высоких разрешающих возможностей в аксиальной проекции.

Примерно, через 2,5-3 месяца после операции у мужчин в 83% случаев отмечается смещение мочевого пузыря кзади, вплоть до пресакрального пространства, а у женщин в 76% — смещение матки в направлении спины. В этой период обычно формируется рубцовая ткань в месте удаленной прямой кишки. Если послеоперационный период осложнился воспалительным процессом, что обычно приводит к образованию массивной рубцовой ткани, то на фоне таких неоднородных по плотности (+25-+65 ед Н) изменений выявить небольшие рецидивные опухоли (до 20-25 мм) представляет большие трудности.
 

О журнале Архив Содержание