На главную страницу
На главную

 
 
О журнале Архив Содержание

(Новости лучевой диагностики 2000 2: 10-12)

Современные возможности лучевой диагностики анкилозирующего спондилоартрита.

Полойко Ю. Ф.1, Филиппович Н. С.1, Гончарик Д. Б.2

1Белорусская медицинская академия последипломного образования. 2НИИ РМиЭ.

Анкилозирующий спондилоартрит (болезнь Бехтерева) — системное воспалительное анкилозирующее заболевание соединительной ткани с преимущественным поражением суставов осевого скелета.

Заболевание встречается у 0,05% населения, преимущественно у лиц мужского пола. На ранних стадия оно не имеет четких клинических признаков, поэтому долгое время пациенты наблюдаются с диагнозом остеохондроза пояснично-крестцового отдела позвоночника. На поздней стадии заболевания диагностика, как правило, не вызывает затруднений, однако большинству больных диагноз устанавливается при уже формирующемся кифозе грудного отдела позвоночника. Неоценимую помощь в диагностике анкилозирующего спондилоартрита оказывают рентгенологические методы исследования. Однако, проблема заключается в том, что часто между моментом возникновения заболевания и формированием классических рентгенологических признаков заболевания проходит несколько лет. Современная лучевая диагностика обладает методами, которые позволяют установить диагноз гораздо раньше, чем это возможно на традиционной рентгенограмме.

Этиология заболевания остается неизвестной. Установлена определенная связь с носительством клебсиелл в толстой кишке, у 80% больных АС выявляется простатит. Большое значение придается наследственной предрасположенности. У 90% больных выявляется антиген гистосовместимости HLA-B27.

Заболевание начинается исподволь и проявляется болями воспалительного характера в поясничной области, иррадиирующими в ягодицы, бедра, коленные суставы. По мере прогрессирования заболевания процесс распространяется в восходящем направлении: поясничный лордоз сглаживается, формируется кифоз грудного отдела позвоночника («поза просителя»). Дыхательная экскурсия грудной клетки уменьшается по мере вовлечения реберно-позвоночных суставов. Поражаются также периферические суставы, чаще тазобедренные, коленные и плечевые. Боль и скованность в позвоночнике более выражены утром и усиливаются после отдыха.

Согласно клинической классификации выделяют следующие формы анкилозирующего спондилоартрита (В.И. Чепой, 1990г.):
1. Центральная форма — поражается только позвоночник;
2. Ризомиелическая форма — поражается позвоночник и корневые суставы (плечевые, тазобедренные);
3. Периферическая форма — поражается позвоночник и периферические суставы (коленные, голеностопные и другие);
4. Скандинавская форма — поражается позвоночник и мелкие суставы кистей;
5. Висцеральная форма — наличие одной из перечисленных выше форм и поражение висцеральных органов (сердца, аорты, почек).

Рентгенография.

Для рентгенологического обследования пациентов с подозрением на анкилозирующий спондилоартрит необходимо выполнение рентгенограмм илеосакрального сочленения и позвоночника. При исследовании илеосакрального сочленения рекомендуется выполнить три снимка: один в прямой проекции и два — в косой (правый и левый, под углом 45о). При исследовании позвоночника необходима рентгенография в прямой и боковой, а иногда — и в косых проекциях.

В большинстве случаев характерная рентгенологическая картина развивается лишь спустя 2 года от начала заболевания, однако, иногда уже через 3-4 месяца удается обнаружить ранние признаки сакроилеита: субхондральный склероз, неровность суставной щели (эрозии), незначительное расширение суставной щели (за счет эрозий), а в дальнейшем ее сужение. Вначале может быть изменен один сустав, но уже через несколько месяцев в процесс вовлекается и другой.

Другим важным признаком является характерное поражение межпозвонковых суставов — размытость суставных пластинок, а затем сужение суставной щели. В итоге формируется анкилоз и суставная щель не просматривается. При этом отсутствуют краевые остеофиты, длина суставной щели не увеличивается и не формируются неоартрозы. Этот признак, в сочетании с двусторонним симметричным сакроилеитом, позволяет с уверенностью поставить диагноз АС.

Менее специфичными рентгенологическими признаками поражения позвоночника при АС являются:
1.  Образование эрозий в месте соединения фиброзного кольца с позвонком, особенно в передних отделах;
2.  Квадратная форма позвонка (на боковой рентгенограмме);
3.  Окостенение продольных связок, которое проявляется на рентгенограмме во фронтальной проекции в виде продольных лент, а в боковой проекции отчетливо заметно окостенение передней продольной связки;
4. Анкилоз позвонков, который как правило формируется сначала в передних отделах.

Вовлечение в процесс тазобедренных и коленных суставов проявляется сужением суставной щели, эрозии обнаруживаются редко, и очень редко формируется анкилоз.

Суставы кистей и стоп поражаются очень редко. Рентгенологически выявляются эрозии очень сходные с таковыми при ревматоидном артрите, однако остеопороз выражен незначительно и изменения часто асимметричны.

В грудинно-реберных и грудинно-ключичных сочленениях могут выявляться эрозии и склероз, а в лобковом симфизе иногда может отмечаться анкилоз. При длительном течении в области крыльев тазовых костей и на седалищных буграх можно выявить мелкие экзостозы — «колючий таз».

Аортит в далеко зашедшей стадии проявляется расширением дуги аорты, иногда формируется недостаточность аортального клапана.

В легких постепенно может развиваться фиброз верхних долей обоих легких с формированием небольших полостей и бронхоэктазов, напоминая картину туберкулеза. Однако, такие изменения встречаются лишь спустя многие годы от начала заболевания.

Таким образом, в течении анкилозирующего спондилоартрита можно выделить следующие рентгенологические стадии:
1. Рентгенологические признаки болезни на традиционной рентгенограмме не видны (на этой стадии изменения выявляются только при проведении компьютерной томографии и сцинтиграфии костей с 99mТс).
2. Выявляются признаки сакроилеита, т.е. отмечается смазанность субхондрального слоя суставов; вначале незначительно расширение, а затем сужение суставной щели; появляются признаки образования эрозий и остеофитов в суставах позвоночника (Рис. 1.).
3. Анкилоз крестцово-подвздошных сочленений и симптом «бамбуковой палки»; суставных щелей в межпозвонковых суставах не видно; признаки остеопороза.
4. Позвоночник имеет вид трубчатой кости, окостеневают диски и все связки, наступает атрофия костей.
 
Увеличить
 
Рис. 1. Анкилозирующий спондилоартрит: эрозия в месте прикрепления к позвонку передней продольной связки.

Рентгеновская компьютерная томография.

Рентгеновская компьютерная томография (РКТ) является весьма информативным методом обследования при АС. Достоинствами метода являются возможность выполнения тонких срезов, хорошая контрастность костных тканей и окружающих структур, возможность визуализации мелких суставов позвоночника. При обследовании илеосакрального сочленения, особенно на ранней стадии, когда требуется провести дифференциальный диагноз с другими сакроилеитами, используются последовательные срезы толщиной 2-6 мм; угол наклона гентри стараются максимально приблизить к продольной оси крестца. По информативности РКТ превосходит магнитнорезонансную томографию в диагностике анкилозирующего спондилоартрита, поскольку интенсивность сигнала от костной ткани очень незначительна.

На самой ранней стадии заболевания выявляются изменения в межпозвонковых суставах: суставные поверхности нечеткие, могут быть заметны единичные эрозии. Позднее формируется анкилоз этих суставов: четко виден переход костных балок с одного позвонка на другой, суставная щель постепенно облитерируется. Однако, в отличие от спондилоартроза не отмечается краевых остеофитов (при спондилоартрозе на РКТ видно, что суставная щель сохранена).

РКТ является наиболее чувствительным методом для ранней диагностики эрозивного сакроилеита. Уже на ранней стадии видны мелкие эрозии по краю суставных поверхностей и псевдорасширение (за счет эрозий) суставной щели. Позднее появляется внесуставной склероз, а впоследствии выявляется формирование анкилоза.

На трансверзальных срезах отчетливо заметны дегенеративные изменения со стороны межпозвонковых дисков — постепенное распространение процесса от периферии к центру, что сопровождается вначале уплотнением диска, а затем его оссификацией.

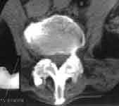
Осссификация передней продольной связки (Рис. 2.), а так же фиброзного кольца сочетается с остеопорозом тел позвонков (в первую очередь губчатой ткани). Иногда может отмечаться столь выраженная деминерализация, что тело позвонка становится даже менее плотным, чем межпозвонковый диск.
 
Рис. 2. РКТ поясничного отдела позвоночника. Оссификация правой боковой продольной связки и признаки анкилозирования межпозвонковых суставов.

Сцинтиграфия.

Сцинтиграфия суставов является неспецифичным, однако весьма чувствительным методом в диагностике заболеваний суставов. Этот метод позволяет одновременно исследовать весь скелет и выявлять изменения в тех суставах, где рентгенологические признаки артрита еще отсутствуют. Накопление радиофармакопре-парата (РФП) обусловлено его способностью откладываться в очагах перестройки костной ткани, т.е. где отмечается разрушение и перестройка костных балок. При проведении сцинтиграфии костей в качестве РФП используется 99mТс-пирофосфат. Сканирование производится через 3-4 часа после болюсного введе-ния препарата.

На самой ранней стадии заболевания характер накопления РФП не отличается от нормы. На этой стадии только при использовании однофотонной эмиссионной компьютерной томографии (SPECT) удается выявить незначительно превышающее норму накопление РФП в области крестцово-подвздошных сочленений. Однако, уже через несколько месяцев от начала процесса (т.е. на стадии воспалительных изменений) начинают выявляться признаки, характерные для анкилозирующего спондилоартрита:
1. При вовлечении в процесс крестцово-подвздошных суставов определяется зона повышенного накопле-ния РФП в области сустава в виде гомогенных, вытянутой формы очагов.
2. При вовлечении в процесс межпозвонковых суставов, а они по данным сцинтиграфии поражаются все-гда и уже на ранней стадии, отмечается симптом «елки» — диффузное, неравномерное накопление препа-рата в грудном отделе позвоночника, постепенно усиливающееся от верхне- к нижнегрудному отделу (Рис. 3.). Этот симптом обусловлен ранним вовлечением в процесс межпозвонковых суставов верхнегрудного отдела и реберно-позвоночных суставов нижнегрудного отдела.
 
Рис. 3. Анкилозирующий спондилоартрит: «симптом елки», характерный для начальной стадии заболевания.

На поздней стадии (склерозирование и обызвествление) характер накопления РФП изменяется:
1. В области крестцово-подвздошного сочленения по-прежнему отмечается повышенное накопление РФП, однако оно становится выраженно негомогенным.
2. В позвоночнике отмечается накопление РФП, значительно превышающее нормальные значения, в виде интенсивной гомогенной полосы.

Участки повышенного накопления РФП отмечаются также при вовлечении в процесс грудинно-ключичных, грудинно-реберных сочленений, верхней трети грудины, а также периферических суставов (при периферической форме). Следует отметить, что у четверти пациентов повышенное накопление РФП отмечается даже в тех суставах, со стороны которых нет ни клинических, ни рентгенологических призна-ков воспаления.

Выводы:

1.  В диагностике анкилозирующего спондилоартрита ведущая роль принадлежит методам лучевой диагностики.
2.  На ранней стадии заболевания, когда еще отсутствуют четкие признаки на традиционных рентгено-граммах, целесообразно выполнить РКТ крестцово-подвздошных сочленений и поясничного отдела позво-ночника.
3.  При наличии клинических признаков анкилозирующего спондилоартрита и отрицательных данных РКТ целесообразно выполнить сцинтиграфию костей скелета с Тс99m-пирофосфатом.
 

О журнале Архив Содержание