На главную страницу
На главную

 
 
О журнале Архив Содержание

(Новости лучевой диагностики 2002 1-2: 30-31)

Лучевая диагностика заболеваний гортани.

Романова Ж. Г.

БелМАПО.

Рентгенологические методы исследования гортани известны многие годы. Однако следует отметить, что в последнее время лучевая диагностика заболеваний гортани незаслуженно отодвинута на второй план. Предпочтение все больше отдается эндоскопическим методам исследования: фиброскопии, фиброларингоскопии и фиброларинготрахеоскопии гортани.

Не следует забывать, что вышеназванные методы относятся к инвазивным и требуют специальной подготовки больного с обязательной анестезией.

В то же время для исследования гортани и трахеи можно использовать следующие методы лучевой диагностики: рентгенографию (обзорную в профильной и во фронтальной проекциях), контрастную рентгенографию, томографию гортани, компьютерную томографию и магнитно-резонансную томографию (МРТ) [1, 2].

Все вышеназванные методы характеризуются высокой информативностью, доступностью, безболезненностью, отсутствием нежелательного эмоционального воздействия на психику обследуемого.

Метод рентгенографии гортани (Рис. 1) давно и широко применяют для установления объема патологического процесса, распространения его в глубину и на окружающие ткани. Обзорную рентгенографию гортани чаще всего проводят в профильной и фронтальной проекциях, которые дополняют друг друга. Отдельно выполненная профильная рентгенография гортани не позволяет получить полного представления о состоянии голосовых складок в связи с тем, что происходит наложение их друг на друга и складки видны в виде двух теней различной толщины. Этот недостаток устраняется при рентгенографии гортани во фронтальной проекции [2,3].


[Увеличить]

Рис. 1. Обзорная боковая рентгенограмма гортани.

Метод контрастной рентгенографии и двойного контрастирования (распыление контрастного вещества и нагнетение воздуха под давлением) позволяет детализировать рельеф слизистой оболочки гортанной части глотки, гортани и гортанно-трахеального отдела.

Значительно более полное представление о состоянии и работе голосовых складок позволяют получить фронтальные послойные снимки гортани — томограммы (Рис. 2). По ним можно судить о состоянии тканей на различной глубине. Томографическое исследование позволяет определить не только состояние и функцию голосовых складок, но и конфигурацию резонаторных полостей. Во время произнесения низких звуков резонаторные полости гортани расширяются и углубляются, а при произнесении высоких звуков — суживаются. Томографию гортани широко применяют в оториноларингологии и фониатрии для диагностики различных патологических состояний голосового аппарата [4].


[Увеличить]

Рис. 2. Томограммы гортани. Посттравнматическая деформация гортани.

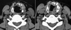
Компьютерная томография гортани позволяет получить изображение гортани в поперечной, сагитальной и фронтальной плоскостях (Рис. 3). Аксиальная компьютерная томография (в поперечной плоскости) как бы раздвигает рамки ларингоскопической картины, позволяя выявить изменения не только в слизистой оболочке на разных уровнях гортани, но и в параларингеальных пространствах (с постоянным увеличением переднезаднего размера гортани) и в грушевидных синусах. Исследование проводят при фонации звука «и». КТ имеет еще одно принципиальное отличие от обычной рентгенограммы — с помощью денситометрии определяется плотность тканей, что позволяет дифференцировать, например, рубцы гортани и папилломы [1,5].


[Увеличить]

Рис. 3. Компьютерная томограмма больной с посттравматичекой рубцовой деформацией гортани.

Картину пространственного расположения отдельных структур гортани и трахеи можно получить методом магнитно-резонансной томографии. Важным достоинством метода МРТ является его высокая разрешающая способность, а так же большая чувствительность в изображении мягких тканей. Данный метод, в отличие от рентгеновской томографии, позволяет получить изображение органа в любом сечении. Нельзя также не принять во внимание отсуствие лучевой нагрузки, что особенно важно в педиатрической практике и в условиях сложной экологической обстановки некоторых районов РБ.

Методы лучевой диагностики заболеваний гортани помогают правильно оценить распространенность заболевания и визуализировать те отделы гортани, эндоскопическое обследование которых затруднено. В ряде случаев (например, при травмах и стенозах гортани), они обеспечивают уверенное распознавание характера и объема повреждений как остова, так и мягких тканей.

Лучевые методы исследования при заболеваниях гортани высоко информативны и должны широко применяться вместе с традиционными ларингоскопическими и эндоскопическими методами исследования.

Литература.

  1. Земцов Г. М. К вопросу о рентгенодиагностике посттравматических изменений гортани // Труды I и II конф. Оториноларингол. РФ. - М., 1999. - С. 119–121.
  2. Максимов И. Фониатрия Пер. с болг. - М., Медицина, 1997. - 288 с.
  3. Ушаков В. С., Современные возможности реабилитации больных с распространенным опухолевым поражением гортани и глотки // Новости оториноларингологии и логопатологии. - Санкт-Петербург. - 1997. - №3. - с.33–37.
  4. Цветков Э. А., Оловянников И. А., Баиров В. Г. Лечение стойких дефектов глотки, гортани, трахеи и пищевода // Сборн. Научн. Трудов «Обструкция гортани и трахеи у детей». Санкт-Петербург. -1996. - с. 104.
  5. Чирешкин Д. Г., Дунаевская А. М., Тимен Г. Э. Лазерная эндоскопическая хирургия верхних дыхательных путей. // М. - Медицина. - 1990 - 192 с.

О журнале Архив Содержание